■ 須貝歯科医院の特長
当院の治療の特長を下記にまとめてみました。左記の項目をクリックお願いします。
● ポリシー
須貝歯科医院は地域のホームドクターとして来院する患者さんが将来にわたって健康で快適な口の中を維持できるように治療方針を立て、末永いお付き合いができることを目指しています。
むし歯を治療するよりもむし歯にならないように予防すること、自分の歯をなるべく抜かないようにすること、長持ちするように精度の高い歯を入れることなど身体にやさしい治療を基本と考えています。歯科治療を美容の一領域とは考えていませんので健康な歯にダメージを与えるようなその場しのぎの治療は行いません。ご自身の歯が永く機能できるように考えて全力で治療に取り組んでいます。それでもこちらの力不足で経過が悪かったりすべてでご満足いただけないこともあります。すべてのことができるわけではありませんので患者さんにご迷惑がかからないように自分の能力を超えたより専門的な治療が必要な場合には地域の信頼できる医科、矯正歯科、口腔外科とも連携をとり必要に応じて紹介できるネットワークを作っています。
むし歯を治療するよりもむし歯にならないように予防すること、自分の歯をなるべく抜かないようにすること、長持ちするように精度の高い歯を入れることなど身体にやさしい治療を基本と考えています。歯科治療を美容の一領域とは考えていませんので健康な歯にダメージを与えるようなその場しのぎの治療は行いません。ご自身の歯が永く機能できるように考えて全力で治療に取り組んでいます。それでもこちらの力不足で経過が悪かったりすべてでご満足いただけないこともあります。すべてのことができるわけではありませんので患者さんにご迷惑がかからないように自分の能力を超えたより専門的な治療が必要な場合には地域の信頼できる医科、矯正歯科、口腔外科とも連携をとり必要に応じて紹介できるネットワークを作っています。
● 医療DXへの取り組み
世の中のあらゆる分野でデジタル化が進んでいますが、当院でも開業以来デジタル化に積極的に取り組んできました。国も保険証を廃止しマイナンバーカードで診療状況などを一括管理しようという方針を進めておりできるだけ早期に導入するようにしています。医院のシステムもデジタル化を進めておりカルテはもちろん口の中の写真やレントゲンなど全ての検査データがデジタル化されて保存され、いつでも比較して見られるようになっています。診療予約もパソコンで管理し、お会計も自動精算機でキャッシュレスでできるようにしてあります。歯のかぶせ物や詰め物まで機械で製作できるようになってきていますがまだまだ人の手も必要です。デジタル化には良い面も悪い面もありますが、医療は人と人がことばを交わすことで信頼が生まれて満足感が得られる部分が多くありますのでそういった部分を残しながら便利なデジタル化を進めていきたいと考えています。
● お子さんの歯科治療
小児の虫歯予防、歯ならび管理に力を入れています。
須貝歯科医院には小児の患者さんが多く来院していますがほとんどが虫歯の予防と歯ならび管理の患者さんで虫歯の治療が必要な場合は稀です。 4カ月ごとの定期健診を小さい頃から受け、フッ素塗布を行っていくことで歯を強くし、将来にわたって虫歯になりにくい歯にしていきます。
また乳歯から永久歯への生え替わりを注意してみていくことで多くの歯列不正は予防できます。できるだけ少ない介入できれいな歯並びになることを目指しておりその経験も豊富です。「定期健診に通っていたらいつの間にか虫歯のないきれいな歯並びになった」と思ってもらうことを目標にしています。
子供たちの歯の治療で最も大切にしているのは子供たちと歯科医院との関係です。いやがる子供を無理矢理におさえて治療を行っていってもますます歯科治療が嫌いになるばかりです。スタッフ全員で来院した子供たちを泣かせるようなことがないようにいろいろと工夫しています。最初はお母さんと一緒に診療台に座るところからはじめ少しずつ歯科医院に慣らせていきます。その時点のお子さんの様子で出来る処置は変わってきますが段階的に進めていくことでほとんどの子供たちが最後は一人で診療台に座って治療を受けることが出来るようになります。親御さんにも我々にも根気のいることですが子供たちに歯科医院にマイナスイメージを持たせないことを一番大切にしています。
定期健診を継続し、虫歯に一回もなったことのない歯並びのきれいな患者さんが多く育っています。

・子供さんの治療が終わったらご褒美にガチャガチャのコインをあげています。
須貝歯科医院には小児の患者さんが多く来院していますがほとんどが虫歯の予防と歯ならび管理の患者さんで虫歯の治療が必要な場合は稀です。 4カ月ごとの定期健診を小さい頃から受け、フッ素塗布を行っていくことで歯を強くし、将来にわたって虫歯になりにくい歯にしていきます。
また乳歯から永久歯への生え替わりを注意してみていくことで多くの歯列不正は予防できます。できるだけ少ない介入できれいな歯並びになることを目指しておりその経験も豊富です。「定期健診に通っていたらいつの間にか虫歯のないきれいな歯並びになった」と思ってもらうことを目標にしています。
子供たちの歯の治療で最も大切にしているのは子供たちと歯科医院との関係です。いやがる子供を無理矢理におさえて治療を行っていってもますます歯科治療が嫌いになるばかりです。スタッフ全員で来院した子供たちを泣かせるようなことがないようにいろいろと工夫しています。最初はお母さんと一緒に診療台に座るところからはじめ少しずつ歯科医院に慣らせていきます。その時点のお子さんの様子で出来る処置は変わってきますが段階的に進めていくことでほとんどの子供たちが最後は一人で診療台に座って治療を受けることが出来るようになります。親御さんにも我々にも根気のいることですが子供たちに歯科医院にマイナスイメージを持たせないことを一番大切にしています。


・子供さんの治療が終わったらご褒美にガチャガチャのコインをあげています。
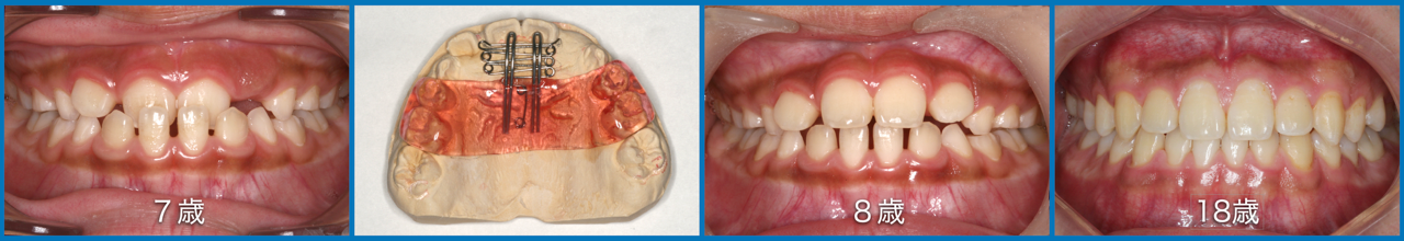
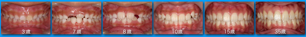
● 咬合育成
子どもたちを虫歯のないきれいな歯並びに誘導していくことが咬合育成で、歯並びが悪くなってから治療する矯正歯科治療とは異なる治療の仕方です。開業時から来院していたこどもたちをどうしたらきれいな歯並びにできるのかを研究してきました。いまではその成果が上がるようになり多くの子どもたちが健康できれいな歯並びをもつ大人になって来院するようになっています。この取り組みは歯科界でも評価され全国の歯科大学や歯科医師会からその分野の講演を依頼されるようになり書籍も出版されて当時はベストセラーになりました。いまでは咬合育成は全国の歯科医院で行われるようになっていますが須貝歯科医院の得意分野になっています。いつもポカンと口を開けて口で呼吸をしていたりするなど、きれいな歯並びになることを妨げる癖もありますがそれらを早く見つけて正しい機能を身に付けさせることも大切です。顎が小さくて歯が並びきらずにガチャガチャの歯並びになってしまうのが日本で一番多い歯列不正です。小さい頃から顎の成長を促す装置をつけて改善することを得意にしています。患者さんによっては矯正専門医に紹介しなければならないケースもあります。その時は地元の信頼できる矯正専門医をご紹介しています。

上の前歯は下の前歯より前にないといけませんが、前歯の生え替わりの時に逆に生えてきましまうことが多くあります。そのままではきれいな歯並びにはなりません。この時が治療のタイミングで、簡単な矯正装置で改善できその後きれいな永久歯列になっていきます。
須貝歯科医院では小児の患者さんに咬合育成を行っていますが矯正歯科医院ではありません。小さい頃からお口の管理をすることできれいな歯並びと虫歯のない健康なお口にすることを目標にしていますので矯正治療のみのご希望はお受けしておりません。

上の前歯は下の前歯より前にないといけませんが、前歯の生え替わりの時に逆に生えてきましまうことが多くあります。そのままではきれいな歯並びにはなりません。この時が治療のタイミングで、簡単な矯正装置で改善できその後きれいな永久歯列になっていきます。
須貝歯科医院では小児の患者さんに咬合育成を行っていますが矯正歯科医院ではありません。小さい頃からお口の管理をすることできれいな歯並びと虫歯のない健康なお口にすることを目標にしていますので矯正治療のみのご希望はお受けしておりません。
● スタッフ
須貝歯科医院では医師、衛生士、技工士、受付と全員が専門の教育を受けた医学的知識のある有資格者でそれぞれの立場で意見を出し合い高いレベルでの診療を心がけています。また常に同じレベルで診療ができるように全員がフルタイムで責任のある仕事をしています。医師、衛生士は担当制になっており各患者さんの治療を責任をもって行っています。働き方改革にも積極的に取り組みより良い労働環境で働いていただくようにしていますがそれぞれスタッフのライフイベントで退職するケースもあります。担当が変更になる場合には患者さんにご迷惑がかからぬよう引き継ぎをしっかり行って対応するように心がけています。
* スタッフ紹介ページへ
* スタッフ紹介ページへ
● 口腔内写真
須貝歯科医院では患者さんのお口の中の写真を撮り、説明や経過観察に役立てています。手鏡で口の中を見せられ説明されてもなかなかわからないものですが、写真を見ればすぐわかるものも多くあります。またメインテナンス時に患者さんが来院し不調を訴えられたときに以前の写真があればどこが変化したのかがわかりやすくなります。何年かぶりに来院した患者さんの写真を見比べてあまりの変化にお互いびっくりすることもあります。

歯にものがはさまるという患者さんの写真です。歯の一部が欠けてしまい金属との間に隙間ができているのがはっきりわかります。素人の患者さんが見ても治療が必要であることがわかると思います。
・画像をクリックすると大きな画像が見れます。

歯にものがはさまるという患者さんの写真です。歯の一部が欠けてしまい金属との間に隙間ができているのがはっきりわかります。素人の患者さんが見ても治療が必要であることがわかると思います。
● 精度へのこだわり
入れた歯の噛み合わせがおかしい、物がよくはさまる、糸楊枝が引っかかるなどの経験をしたことのある方も多いと思います。これは金属の被せ物や詰め物の精度の問題です。下の左右のレントゲン写真を比べてみましょう。レントゲンの中で白く抜けているのは金属の詰め物です。左側のレントゲンの詰め物は自分の歯と合っていないのがわかります。治療後の右側レントゲンの詰め物は歯とピッタリ合っているように見えます。糸楊枝を入れてもどこも引っかかりませんし違和感もありません。いつもこのように製作することが理想ですがそのためには衛生士が歯と歯肉をきれいにし、歯科医がきれいに歯を削り、歯形を取り、技工士が丁寧に補綴物を製作というすべてのステップをしっかり行うことが必要です。コストも労力もかかることですが須貝歯科医院ではすべてを院内で行うことで精度の高い物を作るように努力しています。残念なことですが現在の保険診療では完全な赤字部門で院内で賄うことで何とか頑張っています。保険で使用できる金属があまり良い物ではないこともあり、できるだけ保険外の適切な材料を使用して被せ物や詰め物を作っていただけるように患者さんにはお願いしています。

当医院で製作したブリッジですが糸楊枝を入れてもどこも引っかかりません。いつもこのように製作することが理想ですがそのためにはきれいに歯を削り、歯形を取り、丁寧に補綴物を製作というすべてのステップをしっかり行うことが必要です。
コストも労力もかかることですが須貝歯科医院では補綴物にこだわり精度の高い物を作るように努力しています。

* 補綴物の詳細は一本の歯ができるまでをご覧下さい。
・画像をクリックすると大きな画像が見れます。

当医院で製作したブリッジですが糸楊枝を入れてもどこも引っかかりません。いつもこのように製作することが理想ですがそのためにはきれいに歯を削り、歯形を取り、丁寧に補綴物を製作というすべてのステップをしっかり行うことが必要です。
コストも労力もかかることですが須貝歯科医院では補綴物にこだわり精度の高い物を作るように努力しています。

* 補綴物の詳細は一本の歯ができるまでをご覧下さい。
● メインテナンス
須貝歯科医院では治療を行うことだけでなく治療が終わってからのメインテナンスを重要に考えています。せっかく治療して良い状態になってもその状態が長く続かなければ何もなりません。毎日の歯ブラシだけでなくプロのメインテナンスも重要です。治療が終わったほとんどの患者さんはメインテナンスプログラムに入っていただきそれぞれの患者さんに合わせた間隔でメインテナンスに来院してもらい担当の衛生士が管理しています。定期的に来院する患者さんは年々増えてきていますが「痛みがなくなったらもう来たくない」という患者さんも少なからずいます。どんなことにも共通することですが手入れが良いのと悪いのとでは「持ち」はかなり違ってしまいます。


● 衛生管理
あまり知られていませんが虫歯も歯槽膿漏もバイ菌が原因の病気です。また何らかの病気を持って歯科医院に来院する患者さんも多くいます。治療を通じての感染などはあってはならないことです。そこで須貝歯科医院では院内の衛生管理には多くの注意を払い、国内の歯科医院の中でもかな り高いレベルにあると自負しています。
・画像をクリックすると大きな画像が見れます。
● インプラント
インプラントが1982年に日本に導入されてから40年以上が経過しました、日本に導入されたばかりのころははいつまで保つのかはまったくわからないのであまり積極的には行っていませんでした。症例を選んでお口の中の状態を慎重に診断し無理のない安全なインプラント治療からはじめましたがその多くの症例で良好な経過が得られるようになりました。今ではインプラント治療の信頼性は高まり、診査器材や治療器具などともに技術も進歩しました。CT撮影や模型分析を行い十分なシミュレーションを事前に行いますので安全で痛みの少ない確実なインプラント治療ができるようになりました。当院で使用するインプラントは世界で一番使用されているStrauman社製を使用しています。全ての患者さんでインプラントができるわけではなく、入れ歯が適応となる場合もあります。当院で対応できないような難しいケースでは大学病院や専門病院にご紹介させていただきます。

保存不可能な歯根を抜いてその日のうちにインプラントを入れたケースです。従来であれば前後の歯を削ってブリッジにしなければならないケースですがイン プラントを使えば前後の歯にダメージを与えることなく歯を入れることができます。
・画像をクリックすると大きな画像が見れます。

保存不可能な歯根を抜いてその日のうちにインプラントを入れたケースです。従来であれば前後の歯を削ってブリッジにしなければならないケースですがイン プラントを使えば前後の歯にダメージを与えることなく歯を入れることができます。
● レントゲン診断
歯科医院でレントゲンを撮って説明を受けたことがあると思います。画像が不鮮明でよくわからなかったという方が多いのではないでしょうか。レントゲンの種類や撮影法、現像法には多くの種類がありそれによって画像の鮮明度には差がでてきます。須貝歯科医院ではレントゲン診断にこだわり鮮明な画像が得られるようにシステムを構築しています。歯科医師自身が位置づけをして撮影を行っていますので以前に撮影したレントゲンと比較して違いを見ることができ、正確な診断がおこなえるようにしています。また撮影されたレントゲンはパソコンのモニター上に拡大し、素人の患者さんが見てもわかるようしています。

左側のレントゲンでは根の先端に大きな病巣があるのがわかります。右側が治療後ですが病巣が消えています。歯を入れるだけでなくレントゲンで骨の状態の改善が確認できなければ本当に治ったとは言えません。

一見何でもなさそうですがレントゲンでは大きな虫歯が確認できます。鮮明なレントゲンであれば素人の患者さんにも虫歯であることがわかります。
・画像をクリックすると大きな画像が見れます。

左側のレントゲンでは根の先端に大きな病巣があるのがわかります。右側が治療後ですが病巣が消えています。歯を入れるだけでなくレントゲンで骨の状態の改善が確認できなければ本当に治ったとは言えません。

一見何でもなさそうですがレントゲンでは大きな虫歯が確認できます。鮮明なレントゲンであれば素人の患者さんにも虫歯であることがわかります。
● 虫歯の治療
どんな治療法にも原因療法と対症療法があります。むし歯の原因はばい菌と砂糖です。虫歯治療にはばい菌の侵入した部分をできるだけ完全に取り除くことが大切で、そのために思ったよりも大きく削られた気がするのかもしれません。しかしあまり大きく削りすぎると後でしみたり痛んだりしてしまうこともあり最小限に削ることも重要です。須貝歯科医院では小さいむし歯であれば1回の治療で終わらせるようにしていますが、少し削る量が増えそうだと判断した場合にはばい菌を除去するために消毒剤を塗って1回目の処置を終わりにして2回目の治療で最小限の削除を行ってから治療を終わるようにしています。このようにすることで削る量を小さくすることができます。早く治すことも大切かもしれませんが、ばい菌の感染した部分を残すことは最も避けるべきことです。
● 歯の神経を残す
虫歯があまり進行して歯が痛くなると歯の神経を取ることがあります。歯の神経は歯に栄養を送っており神経を取ることによって歯は枯れ木と同じようになってしまいます。須貝歯科医院ではなるべく神経を取らない治療をおこなっています。虫歯の治療には段階的除去法といって、一回で虫歯のすべてを取り除くのでなく薬で虫歯のばい菌を殺菌しながら改善できない部分だけを取り除いていく方法があります。須貝歯科医院ではタンニンという食物由来のお茶やワイン、柿などに含まれる収斂剤とフッ素が配合されたHY剤という薬剤を使用しています。完全に治療が終わるまでに数ヶ月から数年かかることもありますが痛みもなく神経を残すことのできる治療法です。● 歯の根の治療
神経を取ったはずの歯がまた痛みだすことがあります。これは神経の入っていた根の中にある細い管に残ったばい菌が根の先にある噛み心地を感じる神経や骨を刺激しておこる痛みです。この根の治療には細い針を何種類も使って手作業で行う細かい作業で根気のいる治療です。根の先にピッタリと薬を過不足なく入れることが治療の目標ですが、根の形は曲がったり先で分岐してたりで100%上手くいくとは限らず痛みが出てしまうことがあるのです。根の治療が上手くいかなければその上にどんな高価な歯を入れても無駄になってしまいます。須貝歯科医院では出来るかぎり根の先までしっかり薬で埋められるように電気的測定メーターやレントゲンで確認しながら治療を進めています。それでも100%上手くいくわけではないので再治療することも考慮に入れて上に入れる土台や被せ物も選択しています。




● 歯型の取り方
須貝歯科医院で歯を入れたことのある方は歯型の取り方が他の歯科医院と違ったと感じたかも知れません。歯型を取る材料には寒天系のものとゴム系のものがあります。ゴム系の物の方が精度が良いのですが操作が面倒だったりコストがかかったりで使用している歯科医院は少ないようです。須貝歯科医院ではほとんどのケースでゴム系の材料を使用しています。より鮮明に歯型が取れるように事前に歯と歯ぐきの間に細い糸を入れたりもします。患者さんには硬化するのに時間がかかり苦しかったり痛かったりし、我々にも手間やコストがかかったりで大変なことばかりですが精度の高い詰め物や被せ物を作るためにどうしても必要なステップと考えています。


● 歯牙移植
歯が無くなってしまったところに噛み合わせに関係のない親知らずなどを移植することが出来ます。20年以上前からある方法ですが未だに一般的ではなく手掛ける歯科医も知っている患者さんも少ないのが現状です。しかし自分の歯であれば問題なく他の場所で元からそこにあったように機能させることができ、沢山の良好な経過がでてきています。インプラントを考えるのと同時に自分の歯を移植できるかどうかを考える必要があります。移植できるケースとできないケースとがありますが、親知らずであっても自分の歯を一本でも有効に使うことが大切であると考えています。
● 審美歯科への考え方
昔から明眸皓歯が美人のたとえとされるように白くて整った歯には誰もがあこがれるところです。世の中のニーズに応えるために歯科界には歯を白くする多くの治療法が生まれてきました。以前であれば金属色の詰め物が白くできたり、金属の被せ物も白くすることができます。また自分の歯を漂白するホワイトニングも一般的になってきました。須貝歯科医院でもそれらの治療を取り入れています。しかし基本的な歯の機能である物をしっかり噛んで壊れにくく長持ちさせるという点でそれらの治療法が優れているとは必ずしも限りません。折角白い歯を入れても壊れないように夜はマウスピースをつけて寝なければならないなどというのでは本末転倒です。須貝歯科医院では自分の歯や機能を犠牲にしてまで歯を白くするという治療法はお勧めしていません。しっかり噛めてなおかつ見えるところは白い材料でというのが基本と考えています。
● 不得意部門
患者さんから色々な治療に対する注文が出てきます。須貝歯科医院で一番不得意なものは「早く治して欲しい」と注文されることです。
治療を早く済ませたいというのは誰しも同じだと思いますがその一方で長く持たせたいという気持ちもあります。
20年も前のことですが私が勤務医時代、少ない回数で早く治すことを売りにしていた歯科医院に勤めていたことがあります。その当時良かれと思い行っていた治療ですが、今から考えれば見切り発車的な治療ばかりで結果が出る前に次の段階に治療を進めていたように感じます。
きっとその頃私が治療した患者さんの多くは再治療になってしまっているのではないかと心配しています。
いたずらに時間をかけることはしたくありませんが「さっさと治して欲しい」と注文されるのが一番苦手です。
治療を早く済ませたいというのは誰しも同じだと思いますがその一方で長く持たせたいという気持ちもあります。
20年も前のことですが私が勤務医時代、少ない回数で早く治すことを売りにしていた歯科医院に勤めていたことがあります。その当時良かれと思い行っていた治療ですが、今から考えれば見切り発車的な治療ばかりで結果が出る前に次の段階に治療を進めていたように感じます。
きっとその頃私が治療した患者さんの多くは再治療になってしまっているのではないかと心配しています。
いたずらに時間をかけることはしたくありませんが「さっさと治して欲しい」と注文されるのが一番苦手です。
● 地域包括ネットワーク
障害があってもご高齢になっても住み慣れた地域で医療や介護が受けられる仕組みを作っていくことを地域包括ネットワークといいます。川崎市のなかでも幸区はその取り組みが最も進んでいる地区です。多職種との会合などにも積極的に参加していますので行政や地域の医療職、介護職の皆さんとも連携が取れるネットワークを作っています。当院の患者さんで通院できなくなった場合には訪問診療の要請にもお応えしています。




















