須貝歯科医院


医院案内

  • 住所 : 〒212-0016
        川崎市幸区南幸町2-8
        オーベル川崎101
  • TEL : 044-533-8148
  • FAX : 044-533-8165
  • 診療受付時間 am 9:00~12:00
           pm 2:00~5:00
        (火・土はpm 4:00まで)
  • 休診日 :木曜、日曜、祝祭日

  • E-mail : sugaidc●hawaiikai.jp
    * 上記メールアドレスは、白丸(●)を「@」に変更してお送りください。
     迷惑メール回避のため、メールのアドレスを変更致しました。(2025.5.8) 患者さんからのメールのお問い合わせには緊急の場合と判断したときのみお答えさせていただきます。 休診日、診療時間外はメールのチェックを行っていません。 また当医院患者さん以外からのメールによる質問にはお答えしておりません。
    講演のご依頼は受け付けておりません。
須貝歯科医院外観

受付・待合室

上の医院外観の右奥が受付です。駐車場はありません。自転車やバイクは左手看板前に広いスペースがありますのでそちらに駐輪して下さい。来院された患者さんの緊張が少しでも和らぐようにと外からの光が差し込む明るい待合室です。またプレイコーナーもあり、子ども向けのビデオ等が見られるようになっていますのでお子様連れでも安心してお待ちいただけます。

診療室・レントゲン室

診療台は8台ありますので多くの患者さんをゆっくり時間をかけて診察することができます。歯科衛生士は常時6名おり3台の診療台を定期健診用に使用しますので成人の方では1回に1時間ゆっくりとクリーニングが受けられます。診療台はそれぞれがパーテーションで分けられているのでプライバシーが守られます。完全個室も1室あり、インプラント手術時などに使用しています。

デジタルレントゲン撮影機を設置し、インプラント手術や親知らずの抜歯など必要に応じてCT撮影をおこない正確な診断と安全確実な処置がおこなえます。

診療台ごとにパソコンがあり患者さんのデータ管理をおこなっています。お口の中を撮影するカメラも豊富に用意し現在のお口の中の写真・レントゲン写真はもちろんのこと過去の写真もパソコンやiPadで即座に見られるようにしています。多くの治療例などを紹介しながら解りやすい説明を心がけています。

技工室

患者さんのお口の中に入る金属の被せ物や詰め物はここで作られています。院内に歯科技工士がいる歯科医院は少なく医院全体の10%程度ですがそのメリットは大きく、須貝歯科医院の大きな特長となっています。義歯を製作するには数多くのステップがありますが細かいチェックをし精度にこだわった歯を作るように心がけていますのでクオリティが違います。患者さんからは歯を入れた日から違和感がなくピッタリしていると高評価をいただいています。また義歯が壊れた場合などにも即座に対応することができます。

消毒コーナー

須貝歯科医院には一日50人以上の患者さんが来院します。お口の中に使用する治療器具は十分な数を用意し、ここですべて滅菌しています。一つの器具を滅菌するにはいくつものステップがありますが滅菌器や超音波洗浄機などを複数設置しマニュアルに沿った行程で滅菌を行っています。エプロン、コップ、ヘッドレストカバー、歯ブラシなどできるものは使い捨て品を使用しています。

予約管理と診察券

診療は全て予約制で行っており、できるだけ待ち時間が少なくなるようにしています。
スマートフォンにによるモバイル診察券を導入しており、カードの診察券なしで予約の管理ができるようになっていてこちらをお薦めしています。お子さんを含めたご家族の予約を一括で管理したり、予約の変更をした際にも新しい予約日時が反映されるようになっています。
カードの診察券をご希望の方にはプラスチックの薄いカードのご用意もありますのでお申し出ください、次回の予約時間が印字されるようになっています。
予約を忘れがちの方や数ヶ月後に定期健診の予約を行った方には事前にメールやはがきで連絡をしています。
診療の予約は電話でのみ行っています。パソコンやスマホから予約ができるようにするのが便利なことは十分にわかっていますが、症状や治療内容によって時間や担当者が変わってきますのでご面倒ですが電話での予約をお願いしています。予約のキャンセルについてはメールでも承っていますが新たな予約日時はあらためて電話で行っていただくようにお願いいたします。

訪問診療

以前に須貝歯科医院に通院していたが高齢や病気で体が不自由になって通院できなくなったという患者さんに対しては訪問診療をおこなっています。口腔ケアなどにも歯科衛生士がお伺いしますので遠慮なくお申し付け下さい。顔見知りのスタッフにお口の中をケアしてもらうことが患者さんの何よりもの安心につながります。当院に通っていた患者さんに対しては最後までできる限りの対応をさせていただきます。今のところ須貝歯科医院に通院していなかった方への訪問診療は時間が取れずにお受けすることができませんが通院されている患者さんのご家族などでお困りの場合にはご相談下さい。

医師紹介

● 院長 須貝 昭弘

1982年 九州歯科大学卒業
1988年 川崎市幸区開業
川崎市歯科医師会会員
日本小児歯科学会会員
日本歯周病学会会員
川崎南部摂食嚥下栄養研究会幹事


子どもの頃、ろくに歯も磨かずお菓子ばかり食べていたのでほとんどの歯が治療されており、歯では苦労してきました。それが歯医者になるきっかけとなりましたが、色々な歯の痛みを経験したおかげで患者さんの気持ちがわかることが唯一の良い点です。歯医者になってからはしっかり歯を磨き、甘いものも嫌いになったので虫歯はできなくなりましたが治療した歯は元に戻らないのでとても後悔しています。こんな口の中にならないように小さい頃から予防をすることが大切でることを身にしみて感じます。

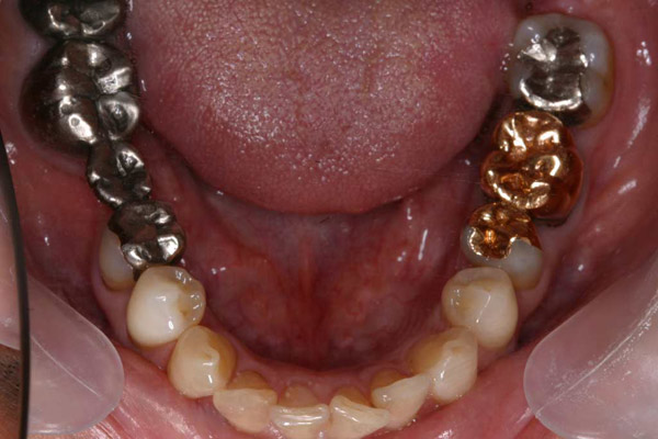
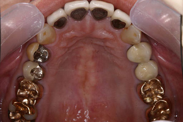
院長の上顎歯列、下顎歯列

● 歯科医師 須貝 彩帆

神奈川歯科大学卒業
自分の歯で食べたいものを食べられることは当たり前のようでとても幸せなことです。お口全体のことを考え、大切な歯を守る治療を丁寧に行えるように心がけていきたいと思います。

● 歯科医師 片岡 大輝

昭和大学 卒
私はご飯を食べることが大好きです。皆さんにも美味しくご飯を食べていただけるようにお口の中の環境を整えることを心がけ診療していきたいと思います。
川崎でおいしいご飯屋さんがあったらぜひ教えてください!!

● 歯科医師 須貝 将舟

土曜日診療
日本歯科大学卒
食事をすることや人と話すこと、生活をしていく中で、口腔機能は非常に大切な身体の機能であると考えています。 患者さんの生活を少しでも豊かにできるようにと心がけて日々取り組んでいきます。

● 歯科技工士 吉沢 仁

長野県出身
横浜歯科技術専門学校卒業
早稲田歯科技工トレーニングセンター卒業
患者さんと顔を合わせることはあまりありませんが歯科技工士がいます。技工室で患者さんの口の中に入る詰め物や被せ物をできるだけ違和感が少ないように丁寧に製作しています。最終研磨までしっかり行い完璧な技工物が装着できるようにしています。

● 歯科衛生士・受付

須貝歯科医院ではいつも同じレベルで診療がおこなえるように全員がフルタイムで勤務しています、診療に当たる女性スタッフはすべて資格をもった歯科衛生士です。また患者さんと診療室をつなぐ大切な役割を専任の受付が担当します。医師には言えない不安や質問などありましたら何でもご相談下さい。