
当院で拡大床治療を受けられた方の評判はそれ程悪くないと思いますがネットなどで「拡大床治療」と検索するとあまり評判が良くないのも事実です。評判が悪くなる理由はわかっていますが先ずはネットでこれらの記事をよく読んでいただくことをお勧めします。
拡大床治療は以前よりヨーロッパを中心に行われていた治療法であり、いろいろな形の装置が用いられていました。 それらを整理し治療目標に応じてまとめたのがウィーンの歯科医シュワルツであり1938年に一冊の教科書にまとめたことでシュワルツの拡大装置と呼ばれるようになりました。 社会保障の充実したヨーロッパの各国では家庭で簡単にできる矯正治療法として広まり、北欧など自然環境が厳しい地域では通院回数が少なくて済む拡大床治療が一般開業医で保険診療として多く行われるようになりました。一方アメリカでは永久歯を抜歯してスペースを作り歯を画一的にキレイに並べる方法が確立され主流になっているため拡大床治療のように時間がかかり患者の装着状況によって治療結果が左右するような治療が行われることがありません。日本の歯科矯正治療学は歴史的にアメリカからの流れで発展してきたため矯正歯科専門で治療を行っている先生方の間では拡大床治療はあまり勧められていないのが現状です。簡単に云うと歯を抜かずに時間をかけて治療をするのがヨーロッパ的で、歯を抜いて短期間で完璧にキレイに歯を並べるのがアメリカ的と言えます。どちらの治療法も正しいと思いますのでご家庭、お子さんに合わせて治療法を選択する必要があります。
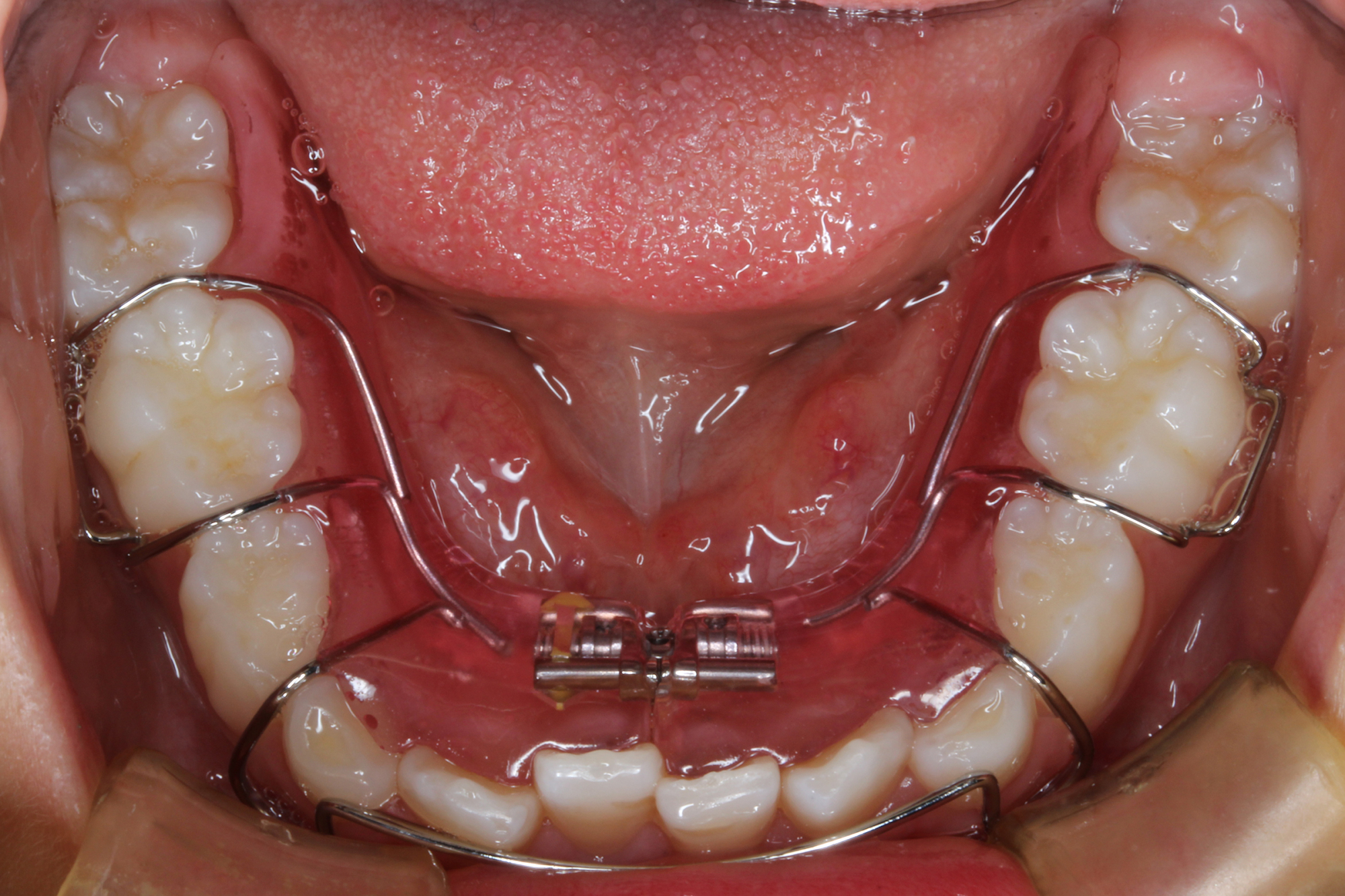
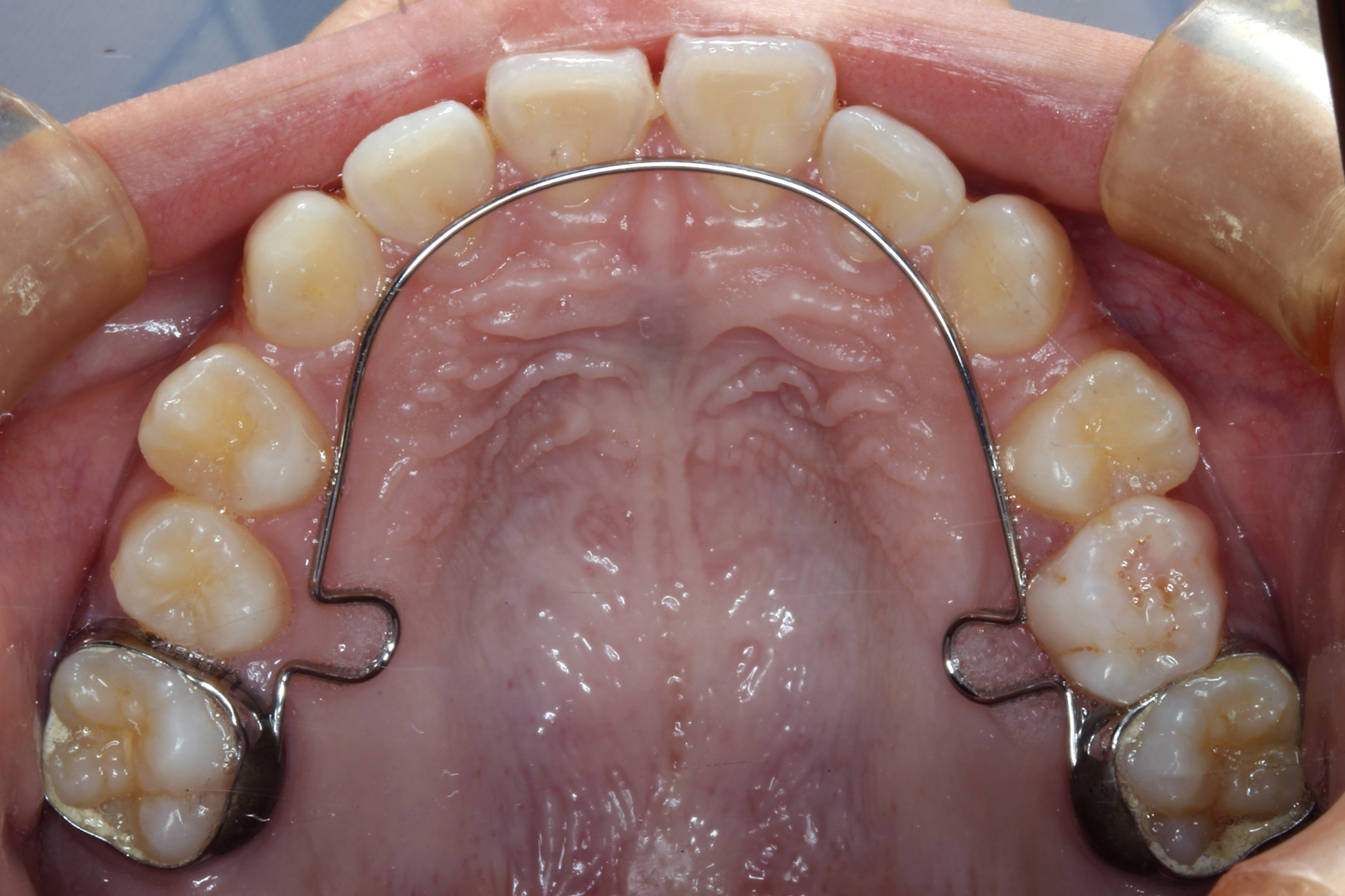
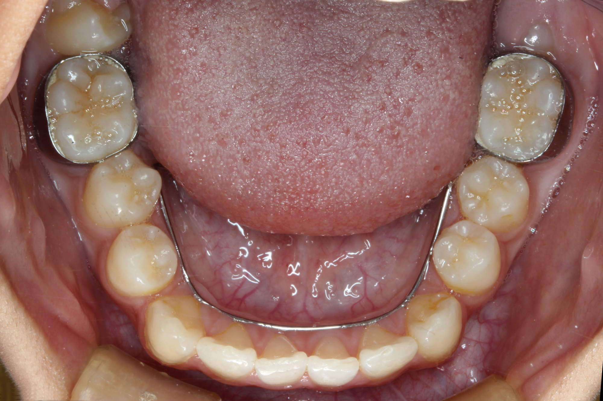
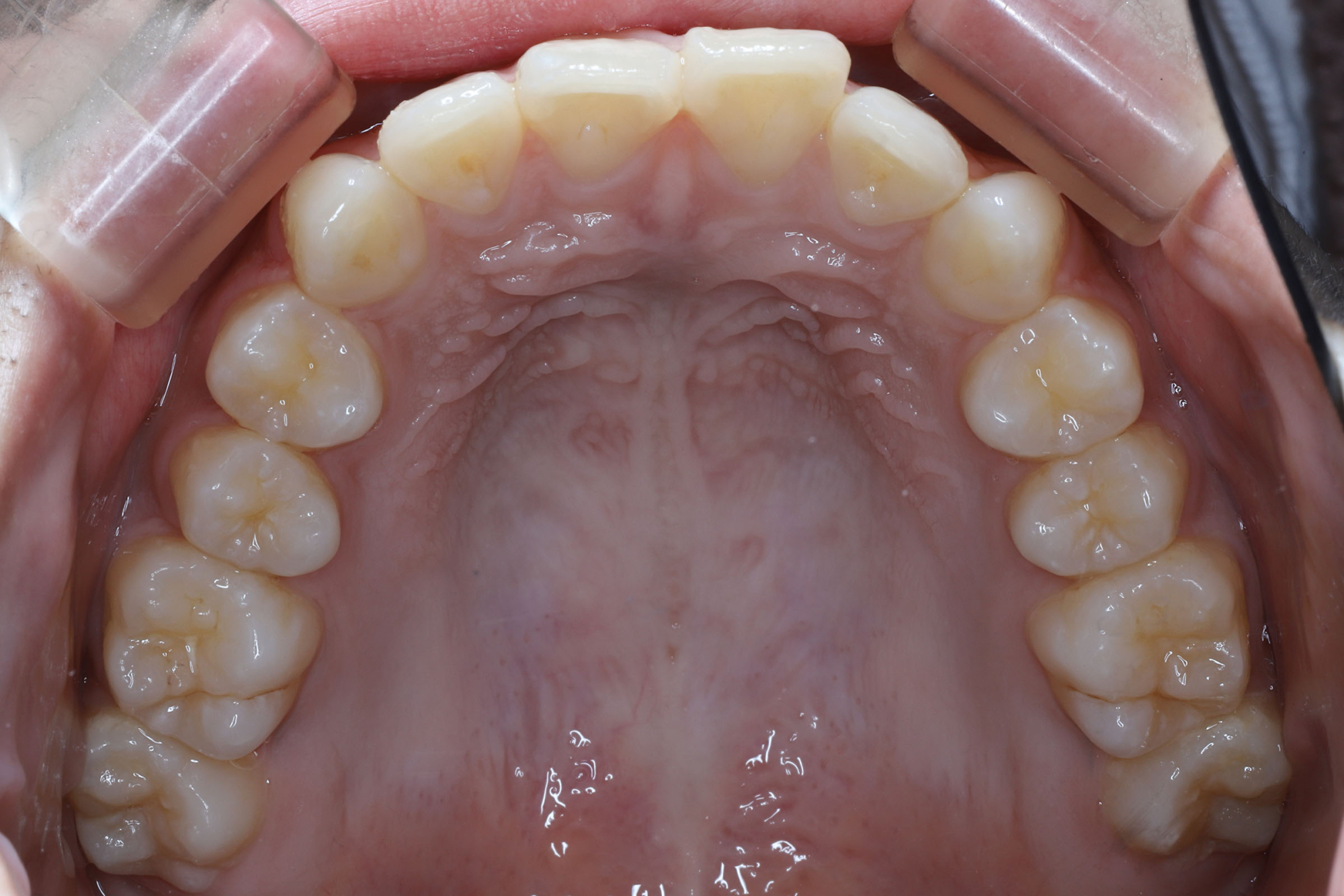
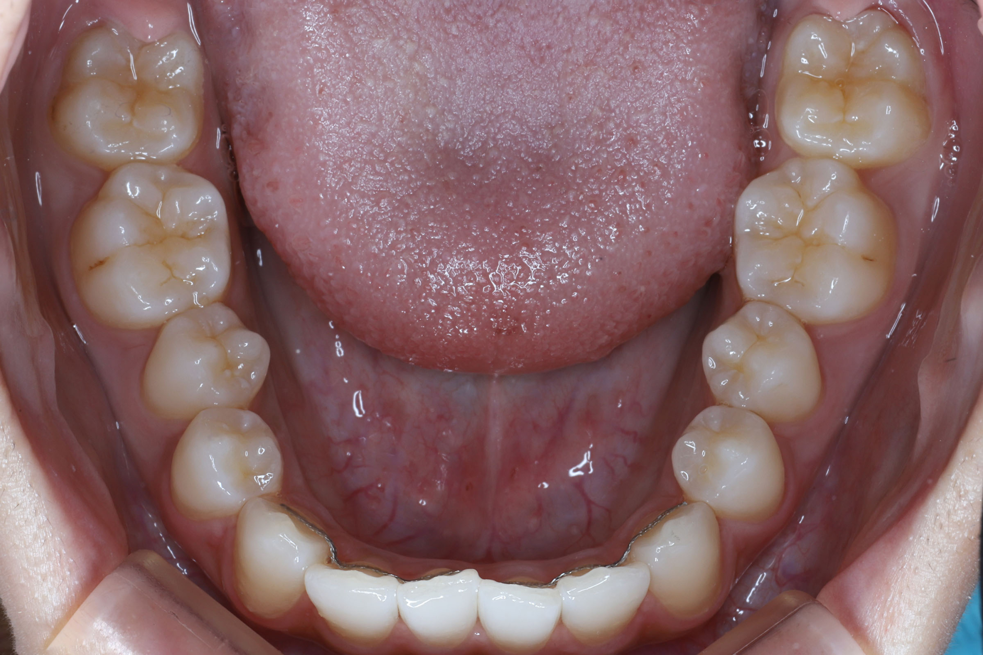
日本で行われている拡大床治療にも色々な方法がありますが当院での特長は最初に永久歯に生え替わる上下4本の前歯を奥歯の生え替わりが始まる前までに顎を拡大してきれいに並べることです。そのため拡大床治療の期間は小学校1年生頃から4、5年生頃までの間に限定しており、それまでに目的が達成できない場合には別の治療法に移行します。またゆっくりスペースを獲得するようにしているのも特長で2週間に1回ネジを回すようにしています。一般的には1週間にⅠ回ないし2回ネジを回すことが多いようです。ゆっくり進めるので一日の装着時間はお家にいるときと寝ている間だけにしています。学校や自宅以外での装着はせずゆっくり拡大していくので治療期間が長くなりますが後戻りは少なく確実になります。治療開始時期が大切ですので時期を逸した場合には拡大床治療は行いません。一般的に拡大床治療の評判が悪いのは開始時期が遅く、いつまでも治療を長引かせ治らないことによるものが多いようです。 拡大床治療はスペースを作って永久歯がならぶスペースを作ることが目標ですので細かい歯の向きや角度まで整えられないこともあります。そんな場合には別の矯正治療が必要になります。
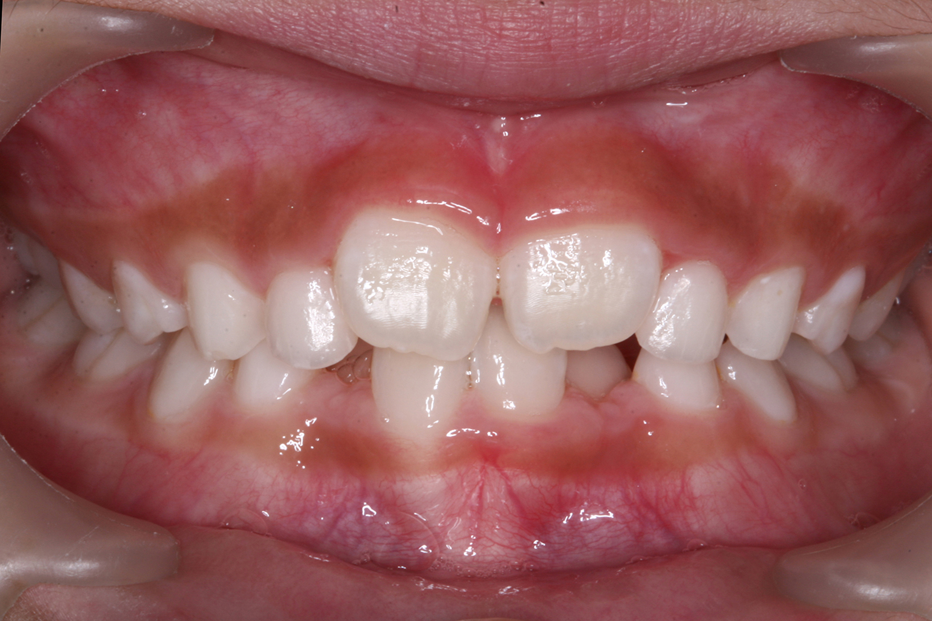
拡大床治療で顎のスペースを拡げられるのは11歳くらいまでです。そのため個人差はありますが遅くても小学校2年生までに始めなければなりません。下の前歯が生え替わりはじめた頃から下の前歯が4本、上の前歯が2本生え替わる頃までが始め時です。すでに上下4本とも生え替わってしまった場合にはすでに遅いことが多くあります。















拡大床治療に使用する装置の装着時に170,000円の費用がかかります。その後の調整費はⅠ回3,000円から5,000円程度かかります。むし歯治療や口腔機能訓練などは保険診療でカバーされますのでそれらの治療が必要な時は保険診療となります。拡大床治療だけですべてがキレイになるわけではないので別の矯正治療が必要になった場合は別料金になります、おおよその治療費は別表のようになります。 歯ならびの相談で矯正専門の歯科医院に行かれた方はもっと高額の治療費の提示があったと思いますが、治療の目的や目標が異なりますので治療費だけを比較して医院を選択することはお勧めできません。矯正治療では短期間で集中的に治療が行われることが多いので、お子さんに完璧を求めるご家庭や治療期間に制限のあるかたは矯正歯科専門の医院を受診されることをお勧めします。
その後別の矯正治療が必要になった場合は別途費用がかかります
拡大床治療ではすべての歯がきれいに並ぶように顎の成長を促すことが目的ですので細かい歯の位置や角度までは調整できません。また歯が大き過ぎる場合には口の中で歯が目立ちすぎることになる場合もあります。日本人を含めたアジア系の骨格には特長があり、ヨーロッパ系の顔立ちとは基本的に違っていますが上下の歯を抜いたりすることでそれに近づけることもできます。矯正専門の歯科ではそのような目標を立てて治療を行うことが多く、そのために4本の永久歯を抜歯することもあります。拡大床治療では歯を抜かずすべての自分の歯でしっかり噛めることを目標にしていますので口元のきれいさを目的にする治療とは異なります。歯を抜いて口元をきれいにするのは大人になってもできる治療ですので、親としては先ずはお子さんのすべての歯を使ってきれいに歯をならべることを優先すべきで、あとで本人が口元が気になるというのであれば本人の意志で歯を抜いて矯正治療を行うべきであるというのが当院の考えです。
拡大床治療は矯正治療ではありませんので完璧にきれいな歯ならびにできるわけではありません。また治療期間も長くなり期間限定の治療法ですので小学校の高学年になってから始めるのには向いていません。また拡大床治療で歯を並べる顎は拡がりますがエラの張った大きな顔になるわけではありません。歯を支える骨は歯槽骨、下顎全体は下顎骨と言って解剖学的には別の骨と考えられています。エラが張った大きな顎になるのは遺伝的な要素や咬む力が大きく影響します。拡大床治療を行ったからといって顎全体が大きくなるわけではありません。
拡大床治療をいままで数多く行ってきましたが、思うような結果が得られなかったこともありました。結果的にお子さんに申し訳ないことになってしまい、そのようなケースを思い返すと以下の様なお子さんやご家庭では拡大床治療は勧められないと思っています。