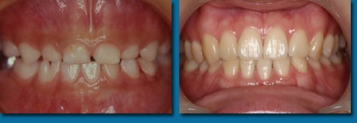
歯並びが悪くなってから治療することを歯列矯正といいますが、乳歯の頃から出てくる歯並びが悪くなる兆候を早期に発見しそれを改善しながらきれいな歯並びの永久歯にしていくことを咬合育成といいます。専門的には歯列矯正と咬合育成は別の物と区別されています。咬合育成は歯並びの予防と考えられ当医院では積極的に取り組み、多くの歯並びの良い子供が育っています。写真の左は乳歯の時、右が永久歯になった時のものです。

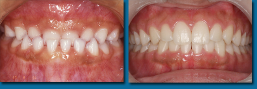
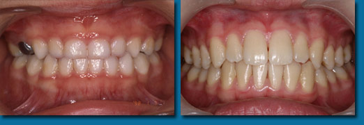
咬合育成でおこなうひとつの治療に顎を拡げて永久歯の入るスペースを作るというものがあります。
歯並びの悪い人の多くは顎が小さくて永久歯が並びきらないことが原因になっています。
成長が終わってから矯正治療を受けた方のほとんどが永久歯を4本抜歯してスペースを作って歯並びをきれいにしますが高齢になって歯を失いはじめると最初から歯が4本少ないことは咀嚼をする上でかなりのハンディキャップになります。
なるべく歯を抜かないできれいな歯並びにするには成長期に骨を刺激し、顎を拡げることです。
乳歯から永久歯への生え替わりは6歳くらいから上下の前歯4本から始まり、そして10歳ころから犬歯、奥歯と生え替わり12歳ころで終わります。
はじめに前歯の4本がきれいに並ばなければその後の犬歯、奥歯の生え替わりで歯並びはどんどん悪くなってしまいます。
そのため上下の前歯4本が生え替わる時期に顎を拡げ、きれいに並べておく必要があります。
あまり知られていませんが永久歯の奥歯は乳歯よりも小さいので前歯4本がきれいに並んでいれば奥歯はほとんどがきれいに並びます。
乳歯の時からスペース不足の傾向はでているので個人差はありますが5歳くらいからなるべく早く開始すると安心です。
遅くても8歳になる前には始めなければこの治療法は選択できません。
(歯が入る骨を拡げる治療なので顎のエラが張ったりなど顔の骨格に影響を与えることはありません)





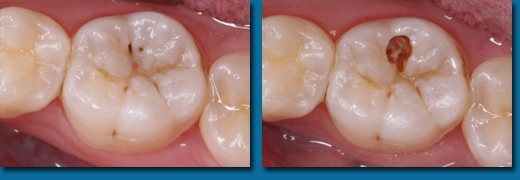
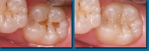
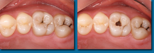
専門的にはう蝕診断といいますが一般の方が思うほど簡単なものではなく、集団検診でも歯科医院でも見逃されることが多くあります。写真の歯はいままで虫歯ではないと言われていましたが冷たいものがしみたり痛みがあったそうです。当院で調べてみると大きな虫歯が中で拡がっていることがわかりました。虫歯の入り口は小さくても中で大きく拡がっていることが多くあります。色々な診査器材を使用して虫歯も虫歯になりやすい歯も見逃しません。

子供の出てきたばかりの歯は溝が深く虫歯になりやすい状態にあります。深い溝に接着力のある樹脂を流し込んで虫歯にならないようにすることをシーラントといいます。溝の深さには個人差がありますがリスクの高い歯には積極的にシーラントを行います。
虫歯の犯人はお砂糖を吸収して歯を溶かす酸を出すバイ菌です。バイ菌を取り除くことが虫歯治療の第一歩です。小さい虫歯ではバイ菌の入ってしまった部分を削り取り即日に治療を完了しますが大きな虫歯ではそれができません。そのため消毒・殺菌によってバイ菌を除去します。当院では自然界にあるタンニン・フッ素を含む薬剤を使った消毒を行います。完全に消毒ができ歯の硬さが戻ってくるまでに数ヶ月から数年かかることもありますが再発させないためには重要なステップです。
虫歯を削ったところに詰める材料にはいろいろあります。小さい虫歯はコンポジットレジンという硬いプラスチックで埋めますが歯と同じ色で治療も一回で済みます。大きなものでは強度が必要となり金属かセラミックを使用します。保険で使用する銀色の金銀パラジウム合金は硬すぎて使っていくうちに周りの歯との間に段差が出てきます。ゴールド系の金属は柔らかいので段差がでにくいのが特徴です。セラミック系のものはきれいですが割れやすいのが難点です。小さな虫歯のうちに治しておくのが得策です。
奥歯にはものを噛む大切な役割があります。人間の噛む力には個人差がありますが自分の体重くらいの力が一本の歯にかかるので壊れないことが大切です。また自分の歯は年齢とともにすり減っていくのであまり硬すぎる歯が一本だけあってもバランスが取れません。壊れにくさでは金属が丈夫であり見た目の良いセラミック系は割れることがあります。硬さではセラミック系、保険の銀、ゴールド系の順番で硬くゴールド系の冠が最も自分の歯に近い硬さです。
何本も歯を失うと部分入れ歯が必要になります。初めて入れ歯を入れる方は一気に歳を取った気分になりがっかりしてしまうことが多いようです。歯の代わりになるものですから部分入れ歯は丈夫で壊れず痛くない物、そして目立たず長持ちする物が理想です。入れ歯は小さければ違和感が少ないというイメージがありますが大きさよりもしっかりとした材料で頑丈に作られた物の方が良く噛めます。保険の入れ歯では使える材料が決まっていてその条件を満たす物は残念ながら作ることは出来ません。保険の範囲にとらわれずしっかりとした素材を使用した入れ歯とでは大きな差が出てしまいます。
今までは部分入れ歯しか考えられなかった口の中にインプラントを使って歯を入れられるようになりました。取り外しでなく歯ごたえのある物もしっかり噛めるようになるのでインプラントを入れた患者さんの満足度はとても高いものがあります。しかしインプラントも万能ではありません。今まで歯を失った方にはその原因となる何かがお口の中には潜んでおり、それがなければ歯を失わなかったはずです。その原因には色々とありますが専門的な立場から見てインプラントに適さない場合もあり、経過が思わしくなく残念なことに抜けてしまうこともあります。インプラントの過剰広告に惑わされることなく慎重に治療方法を選択する必要があります。
抜かなければならない歯のかわりに親知らずなどの歯を移し替えることができます。抜けた歯と移植する歯のサイズが同じくらいでないと上手くいきませんが、必要のない親知らずを有効に使うことのできるとても良い治療法です。移植ができるかどうかは色々と調べなければならないことが多いのですが、歯が抜けてしまった場合の一つの選択肢としていつも移植が可能かどうかを考えるようにしています。元々の自分の歯ですので移植が成功した場合の自然な感じや噛み心地の良さはインプラントなどとは比べものになりません。
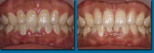
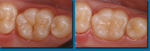
歯の磨き方が悪いと虫歯にもなりますが、磨き残した歯垢が唾液と反応して硬い歯石になって歯にこびり付いてしまいます。歯石になると歯ブラシでは取れなくなり、その中には沢山のバイ菌が潜んでいるために周りの歯肉が赤く腫れてしまいます。歯ブラシがあたると出血しやすくなりそのまま放置すると歯槽のう漏に進行していきます。歯石の除去を行い毎日の歯磨きをしっかり行うことで歯肉の状態はビックリするぐらい良くなります。歯石の除去は歯科衛生士の上手い下手が最も出る部分で、当院の歯科衛生士も歯石の取り残しがないように日々努力しています。左が歯石を取る前、右が取った後です。