須貝歯科医院は地域のホームドクターとして来院する患者さんが将来にわたって健康で快適な口の中を維持できるように治療方針を立て、末永いお付き合いができることを目指しています。
虫歯を治療するよりも虫歯にならないように予防すること、自分の歯をなるべく抜かないようにすること、長持ちするように精度の高い歯を入れることなど身体にやさしい治療を基本と考えています。そのため乳歯の生え始めた乳幼児から総入れ歯の高齢者まで各世代の口の中の問題に対応できるようにシステムを整えスタッフ一同スキルアップに努めています。
より専門的な治療が必要な場合には地域の信頼できる医科、矯正歯科、口腔外科とも連携をとり必要に応じて紹介するネットワークを作っています。
口の中の状態が今どのようになっていてどんな処置が必要なのかを説明してから治療に入るようにしています。口の中をデジタルカメラで撮影しパソコンを使用して口の中の状態やレントゲンなどを説明します。またそのデータは患者さんごとにコンピューターに保存され必要なときに比較できるようになっています。お引っ越しなどで転院される場合にはデータをCDに入れて患者さんにお渡ししています。
小児の虫歯予防、歯ならび管理に力を入れています。
須貝歯科医院には小児の患者さんが多く来院していますがほとんどが虫歯の予防と歯ならび管理の患者さんで虫歯の治療が必要な場合は稀です。4カ月ごとの定期健診を小さい頃から受けることによって虫歯の予防ができ永久歯列が完成する12才時の一人虫歯経験歯数の平均は約0.8本で世界一のスウェーデンより高い水準になっています。
日本の平均の2.4本とは比べものになりません。また乳歯から永久歯への生え替わりを注意してみていくことで多くの歯列不正は予防でき、その経験も豊富です。
子供たちの歯の治療で最も大切にしているのは子供たちと歯科医院との関係です。いやがる子供を無理矢理におさえて治療を行っていってもますます歯科治療が嫌いになるばかりです。スタッフ全員で来院した子供たちを泣かせるようなことがないようにいろいろと工夫しています。最初はお母さんと一緒に診療台に座るところからはじめ少しずつ歯科医院に慣らせていきます。その時点のお子さんの様子で出来る処置は変わってきますが段階的に進めていくことでほとんどの子供たちが最後は一人で診療台に座って治療を受けることが出来るようになります。お母さんにも我々にも根気のいることですが子供たちに歯科医院にマイナスイメージを持たせないことを一番大切にしています。
定期健診を継続し、虫歯に一回もなったことのない歯並びのきれいな患者さんが多く育っています。




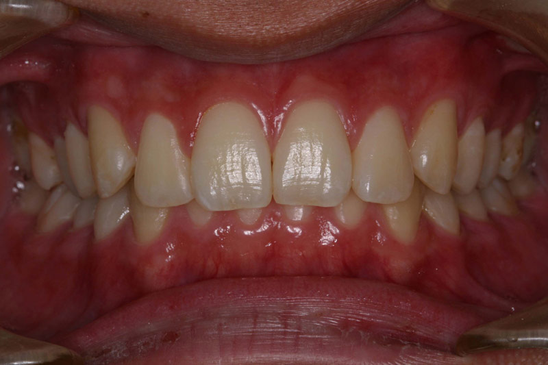
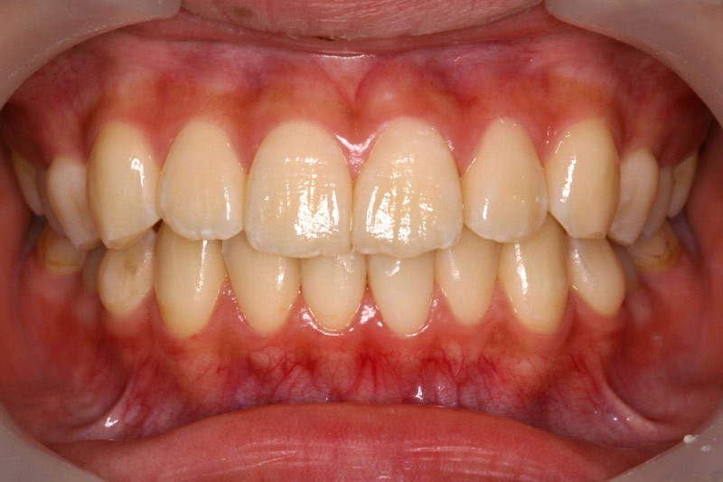
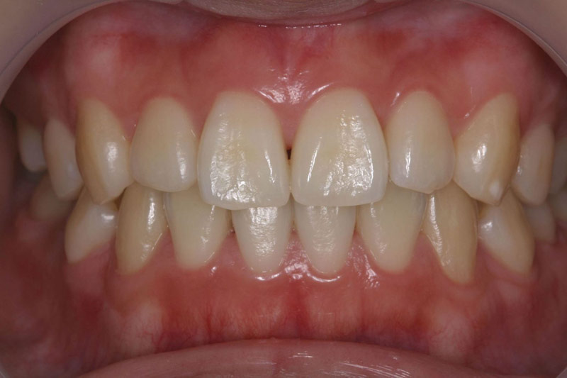
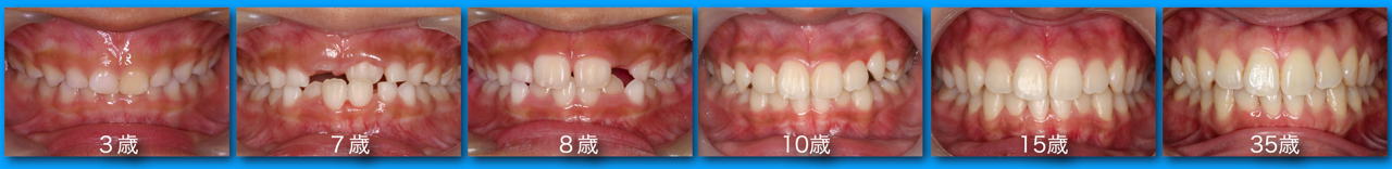
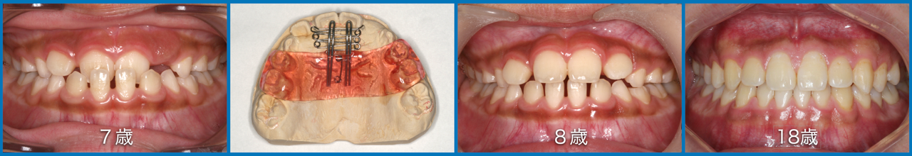
子供達を健康で綺麗な歯並びの永久歯列に誘導していくことを咬合育成と言います。開業時から来院していた子供達を見ていて、どうしたら綺麗な歯並びにできるのかを研究してきました。最近その成果が上がるようになり多くの子供達が健康できれいな歯並びをもった大人になって来院するようになっています。対外的にも「講演・論文」のページにあるように各地の歯科大学や歯科医師会からその分野の講演を依頼されるようになり、いつのまにか須貝歯科医院の得意分野になってしまいました。永久歯への生え替わりの時期が最も重要な時期です。簡単な装置で歯並びを改善していくのですが患者さんによっては矯正専門医に紹介しなければならないケースもあります。その時は地元の信頼できる矯正専門医をご紹介しています。
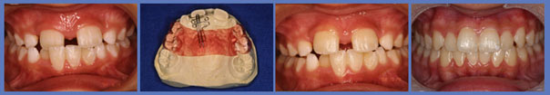
上の前歯は下の前歯より前にないといけませんが、前歯の生え替わりの時に1本逆に生えてきました。そのままではきれいな歯並びにはなりそうもありません。この時が治療のタイミングです。簡単な矯正装置で改善しただけでその後きれいな永久歯列になりました。
須貝歯科医院では小児の患者さんに咬合育成を行っていますが矯正歯科医院ではありません。小さい頃からお口の管理をすることできれいな歯並びと虫歯のない健康なお口にすることを目標にしています。矯正治療のみのご希望はお受けしておりません。
須貝歯科医院では医師、衛生士、技工士、受付と全員が専門の教育を受けた医学的知識のある有資格者でそれぞれの立場で意見を出し合い高いレベルでの診療を心がけています。また常に同じレベルで診療ができるように全員がフルタイムで責任のある仕事をしています。医師、衛生士は担当制になっており各患者さんの治療を責任をもって行っています。 スタッフ紹介
須貝歯科医院では患者さんのお口の中の写真を撮り、説明や経過観察に役立てています。手鏡で口の中を見せられ説明されてもなかなかわからないものですが、写真を見ればすぐわかるものも多くあります。またメインテナンス時に患者さんが来院し不調を訴えられたときに以前の写真があればどこが変化したのかがわかりやすくなります。何年かぶりに来院した患者さんの写真を見比べてあまりの変化にお互いびっくりすることもあります。
歯にものがはさまるという患者さんの写真です。歯の一部が欠けてしまい金属との間に隙間ができているのがはっきりわかります。素人の患者さんが見ても治療が必要であることがわかると思います
入れた歯の噛み合わせがおかしい、物がよくはさまる、糸楊枝が引っかかるなどの経験をしたことのある方も多いと思います。これは金属の被せ物や詰め物の精度の問題です。下の左右のレントゲン写真を比べてみましょう。レントゲンの中で白く抜けているのは金属の詰め物です。左側のレントゲンの詰め物は自分の歯と合っていないのがわかります。治療後の右側レントゲンの詰め物は歯とピッタリ合っているように見えます。糸楊枝を入れてもどこも引っかかりませんし違和感もありません。いつもこのように製作することが理想ですがそのためには衛生士が歯と歯肉をきれいにし、歯科医がきれいに歯を削り、歯形を取り、技工士が丁寧に補綴物を製作というすべてのステップをしっかり行うことが必要です。コストも労力もかかることですが須貝歯科医院ではすべてを院内で行うことで精度の高い物を作るように努力しています。残念なことですが現在の保険診療では完全な赤字部門で院内で賄うことで何とか頑張っています。保険で使用できる金属があまり良い物ではないこともあり、できるだけ保険外の適切な材料を使用して被せ物や詰め物を作っていただけるように患者さんにはお願いしています。
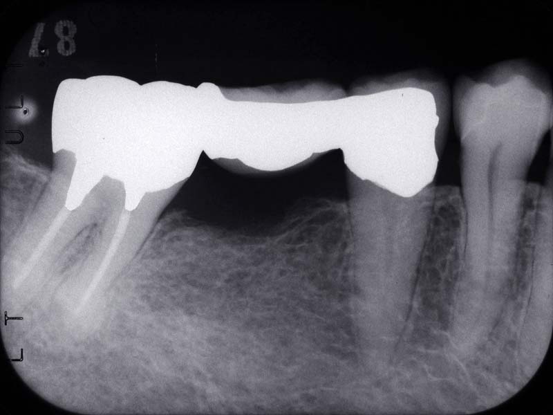
当医院で製作したブリッジですが糸楊枝を入れてもどこも引っかかりません。いつもこのように製作することが理想ですがそのためにはきれいに歯を削り、歯形を取り、丁寧に補綴物を製作というすべてのステップをしっかり行うことが必要です。 コストも労力もかかることですが須貝歯科医院では補綴物にこだわり精度の高い物を作るように努力しています。
須貝歯科医院では治療を行うことだけでなく治療が終わってからのメインテナンスを重要に考えています。せっかく治療して良い状態になってもその状態が長く続かなければ何もなりません。毎日の歯ブラシだけでなくプロのメインテナンスも重要です。治療が終わったほとんどの患者さんはメインテナンスプログラムに入っていただきそれぞれの患者さんに合わせた間隔でメインテナンスに来院してもらい担当の衛生士が管理しています。定期的に来院する患者さんは年々増えてきていますが「痛みがなくなったらもう来たくない」という患者さんも少なからずいます。どんなことにも共通することですが手入れが良いのと悪いのとでは「持ち」はかなり違ってしまいます。
あまり知られていませんが虫歯も歯槽膿漏もバイ菌が原因の病気です。また何らかの病気を持って歯科医院に来院する患者さんも多くいます。治療を通じての感染などはあってはならないことです。そこで須貝歯科医院では院内の衛生管理には多くの注意を払い、国内の歯科医院の中でもかな り高いレベルにあると自負しています。
高圧蒸気滅菌器を3台使用し患者さんに使用する器材を滅菌消毒しています。
使用済みの機器は手洗いの後、超音波洗浄機で洗浄後滅菌バックに入れられて高圧蒸気滅菌器にかけられます。
滅菌が済んだ器材を保存する殺菌灯のついた専用の戸棚
患者さんに使用する基本セット。エプロン、うがい用コップは使い捨て。歯を削るタービンは患者さんごとに滅菌されたものを使用しています。
歯の根の治療や神経の治療に使用するファイルや、歯を削るバーという器材などもすべて高圧蒸気滅菌器で滅菌しています
歯ブラシ指導に使用する歯ブラシは使い捨てにしています。
感染症をお持ちの方の治療には万全の注意を払っています、手で触れるところはすべてカバーし使い捨てのものを多く使用しています
インプラントの手術経験も300ケースを超えました。お口の中の状態を慎重に診断し無理のない安全なインプラント治療を行っています。患者さんにお聞きしていると世間でのインプラントの評価は二分されているようです。評判が悪くなるのは無理なケースに乱暴な術式でインプラントをおこなったケースのようです。インプラントにも適応症がありすべての患者さんにできるものでもありません。須貝歯科医院では安全で確実にできるインプラントを患者さんに勧めています。難しい症例は鶴見大学に依頼しCTを撮影してもらいインプラント科で処置を行ってもらっています。
保存不可能な歯根を抜いてその日のうちにインプラントを入れたケースです。従来であれば前後の歯を削ってブリッジにしなければならないケースですがイン プラントを使えば前後の歯にダメージを与えることなく歯を入れることができます。
歯科医院でレントゲンを撮って説明を受けたことがあると思います。歯科のレントゲンフィルムは小さくてよくわからなかったという方が多いのではないでしょうか。レントゲンフィルムの種類や撮影法、現像法には多くの種類がありそれによって画像の鮮明度には差がでてきます。須貝歯科医院ではレントゲン診断にこだわり鮮明な画像が得られるようにシステムを整えています。また撮影されたレントゲンはパソコンのモニター上に拡大し、素人の患者さんが見てもわかるようしています。
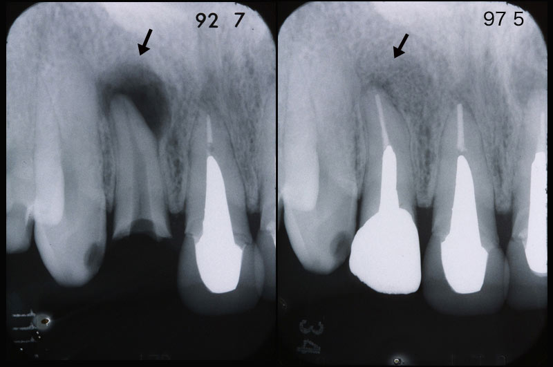
上のレントゲンでは根の先端に大きな病巣があるのがわかります。右側が治療後ですが病巣が消えています。歯を入れるだけでなくレントゲンで骨の状態の改善が確認できなければ本当に治ったとは言えません。
一見何でもなさそうですがレントゲンでは大きな虫歯が確認できます。鮮明なレントゲンであれば素人の患者さんにも虫歯であることがわかります。
どんな治療法にも原因療法と対症療法があります。むし歯の原因はばい菌と砂糖です。虫歯治療にはばい菌の侵入した部分をできるだけ完全に取り除くことが大切で、そのために思ったよりも大きく削られた気がするのかもしれません。しかしあまり大きく削りすぎると後でしみたり痛んだりしてしまうこともあり最小限に削ることも重要です。須貝歯科医院では小さいむし歯であれば1回の治療で終わらせるようにしていますが、少し削る量が増えそうだと判断した場合にはばい菌を除去するために消毒剤を塗って1回目の処置を終わりにして2回目の治療で最小限の削除を行ってから治療を終わるようにしています。このようにすることで削る量を小さくすることができます。早く治すことも大切かもしれませんが、ばい菌の感染した部分を残すことは最も避けるべきことです。
虫歯があまり進行して歯が痛くなると歯の神経を取ることがあります。歯の神経は歯に栄養を送っており神経を取ることによって歯は枯れ木と同じようになってしまいます。須貝歯科医院ではなるべく神経を取らない治療をおこなっています。虫歯の治療には段階的除去法といって、一回で虫歯のすべてを取り除くのでなく薬で虫歯のばい菌を殺菌しながら改善できない部分だけを取り除いていく方法があります。マスコミでは3mix法という抗菌剤を用いた治療方法が取り上げられていますが須貝歯科医院ではタンニンという食物由来のお茶やワイン、柿などに含まれる収斂剤とフッ素が配合されたHY剤という薬剤を使用して同様の効果を上げています。完全に治療が終わるまでに数年かかることもありますが痛みもなく神経を残すことのできる治療法です。
神経を取ったはずの歯がまた痛みだすことがあります。これは神経の入っていた根の中にある細い管に残ったばい菌が根の先にある噛み心地を感じる神経や骨を刺激しておこる痛みです。この根の治療には細い針を何種類も使って手作業で行う細かい作業で根気のいる治療です。根の先にピッタリと薬を過不足なく入れることが治療の目標ですが、根の形は曲がったり先で分岐してたりで100%上手くいくとは限らず痛みが出てしまうことがあるのです。根の治療が上手くいかなければその上にどんな高価な歯を入れても無駄になってしまいます。須貝歯科医院では出来るかぎり根の先までしっかり薬で埋められるように電気的測定メーターやレントゲンで確認しながら治療を進めています。それでも100%上手くいくわけではないので再治療することも考慮に入れて上に入れる土台や被せ物も選択しています。
須貝歯科医院で歯を入れたことのある方は歯型の取り方が他の歯科医院と違ったと感じたかも知れません。歯型を取る材料には寒天系のものとゴム系のものがあります。ゴム系の物の方が精度が良いのですが操作が面倒だったりコストがかかったりで使用している歯科医院は少ないようです。須貝歯科医院ではほとんどのケースでゴム系の材料を使用しています。より鮮明に歯型が取れるように事前に歯と歯ぐきの間に細い糸を入れたりもします。患者さんには硬化するのに時間がかかり苦しかったり痛かったりし、我々にも手間やコストがかかったりで大変なことばかりですが精度の高い詰め物や被せ物を作るためにどうしても必要なステップと考えています。
歯が無くなってしまったところに噛み合わせに関係のない親知らずなどを移植することが出来ます。20年以上前からある方法ですが未だに一般的ではなく手掛ける歯科医も知っている患者さんも少ないのが現状です。しかし自分の歯であれば問題なく他の場所で元からそこにあったように機能させることができ、沢山の良好な経過がでてきています。インプラントを考えるのと同時に自分の歯を移植できるかどうかを考える必要があります。移植できるケースとできないケースとがありますが、親知らずであっても自分の歯を一本でも有効に使うことが大切であると考えています。
昔から明眸皓歯が美人のたとえとされるように白くて整った歯には誰もがあこがれるところです。世の中のニーズに応えるために歯科界には歯を白くする多くの治療法が生まれてきました。以前であれば金属色の詰め物が白くできたり、金属の被せ物も白くすることができます。また自分の歯を漂白するホワイトニングも一般的になってきました。須貝歯科医院でもそれらの治療を取り入れています。しかし基本的な歯の機能である物をしっかり噛んで壊れにくく長持ちさせるという点でそれらの治療法が優れているとは必ずしも限りません。折角白い歯を入れても壊れないように夜はマウスピースをつけて寝なければならないなどというのでは本末転倒です。須貝歯科医院では自分の歯や機能を犠牲にしてまで歯を白くするという治療法はお勧めしていません。しっかり噛めてなおかつ見えるところは白い材料でというのが基本と考えています。
患者さんから色々な治療に対する注文が出てきます。須貝歯科医院で一番不得意なものは「早く治して欲しい」と注文されることです。治療を早く済ませたいというのは誰しも同じだと思いますがその一方で長く持たせたいという気持ちもあります。20年も前のことですが私が勤務医時代、少ない回数で早く治すことを売りにしていた歯科医院に勤めていたことがあります。その当時良かれと思い行っていた治療ですが、今から考えれば見切り発車的な治療ばかりで結果が出る前に次の段階に治療を進めていたように感じます。きっとその頃私が治療した患者さんの多くは再治療になってしまっているのではないかと心配しています。いたずらに時間をかけることはしたくありませんが「さっさと治して欲しい」と注文されるのが一番苦手です