須貝歯科医院


お母さんの歯並び教室

お母さん達の中には「自分は歯が悪くて苦労したので子供には同じ思いをさせたくない」と言われる方が多くいます。きれいな歯は親から子供に与える一つの財産です。虫歯の予防には砂糖を多く取らないこと、毎日の歯ブラシをきちんとすること、フッ素やキシリトールを使用することなどが大切であることは一般的に知られています。しかしどうしたらきれいな歯並びになるかはあまり知られてはいません。矯正治療には高額な費用がかかることは知られており、小さいお子さんをお持ちのお母さん達は今のお子さんの歯並びの状態がこれで正常なのかどうかが心配で仕方ありません。お母さんが気がつかないものも含め専門的な目で見て、このままにしておいても大丈夫な場合と将来歯並びが悪くなる兆候である場合とがあります。診療室で良く聞かれる質問を中心にお答えしお子さんの歯並びが心配なお母さん達の参考にしていただければ幸いです。
須貝歯科医院では小さい頃からお口の管理をすることできれいな歯並びで虫歯のない健康なお口にすることを目標に咬合育成を行っています。矯正歯科医院ではありませんので、小学校の高学年以上のお子さんの矯正治療はお受けできない場合があります。その場合には地域の信頼できる矯正歯科医院にご紹介させていただきます。お口の中を実際に拝見しないと正確なアドバイスができませんので患者さん以外からのメールやお電話での個別の相談にはお応えしておりません。

1.出てきた上の永久歯の前歯に隙間がある

 出てきたばかりの上の永久歯の前歯には隙間があるのが普通です。カタカナのハの字に開いていても問題ありません。6歳から7歳で上の前歯が生え替わりますがまず真ん中の2本、少し遅れてその脇に2本の計4本が出てきます。まず初めに出てくる真ん中の2本の間に隙間があってもその両脇の歯が出てくるにしたがいくっついてしまいます。むしろ隙間がなくぎっしりと生えてきた場合の方が問題で両脇の歯の生える隙間がなく困る場合があります。隙間があるだけでは問題ありませんが下から見て歯が45°以上捻転しているようであれば問題です。捻転の改善は乳歯の奥歯の生え替わる11歳くらいまでに改善しておくことをお勧めします。

2.出てきた上の永久歯の前歯が曲がっている

 出てきたばかりの上の永久歯の前歯には隙間があったり、ハの字に傾いていても自然に治る可能性が高くあります。しかし45°以上捻転している場合には自然に治る可能性はありません。そのままにして永久歯列になってしまうと簡単には治すことができなくなります。捻転の改善は乳歯の奥歯の生え替わる11歳くらいまでに行うことが必要で改善後も再発しないようにしっかり固定しておかなければなりません。

3.歯の生え替わりが遅い

  「お友達はみんな大人の歯がでてきているのにうちの子はまだ出てこないので心配です」という質問をよく受けます。もしお子さんが他のお子さんと比べ極端に背が低いなどということがなければ歯の生え替わりが遅いのはラッキーです。大人の歯は子供の歯より明らかに大きく、顎が小さいままスペースが無いのに永久歯が出てきてしまうのは歯並びが悪くなる原因になります。顎が十分に大きくなってから永久歯が出てくることが理想ですので遅ければ遅いほどラッキーなのです。生後6ヶ月くらいで下の乳歯が出てきますが乳歯が出てくるのが遅かったお子さんでは永久歯の生え替わりも遅くなるので焦らず待っていてください。

4.歯がグラグラしてきたけど抜いた方がいい

 前歯の場合は抜くべきではありません。理想的な前歯の生え替わりは乳歯が抜けてすぐに永久歯が出てくるというパターンです。早く抜いてしまうと永久歯が出てくるまでに時間がかかります。子供も大人と同じように前歯がなければしゃべれません。次の前歯が出てくるまでは歯と歯の間から出てくるサ行やタ行を発音するためにベロをだすくせが付いてしまいます。この癖がついてしまうと大人の歯が出てきても改善が難しく舌っ足らずのようなしゃべり方が身についてしまいます。子供の歯はなるべく抜かずに最後の最後まで使う方が賢明です。

5.乳歯の後ろに下の前歯が生えてきました

 乳歯がグラグラしているようであれば無理に抜く必要はありません。グラグラしているのは乳歯の根が吸収しもうすでに抜ける準備ができているためです。自然に抜けた後は永久歯が舌の力で次第に前に移動し正常な位置に落ち着きます。問題になるのは乳歯がしっかりしている場合です。乳歯の根の吸収は永久歯が歯ぐきの中にいるときに起こるので永久歯が後ろに生えた状態ではなかなか吸収が進みません。そのため乳歯の抜けるのがかなり遅くなり歯並びが悪くなる可能性が出てきます。乳歯がグラついていない場合には抜いてもらった方が良いでしょう。

6.乳歯の噛み合わせが逆

 乳歯の噛み合わせが逆の場合は将来永久歯でも逆になる可能性があります。お父さんやお母さんなど近い家系の中に噛み合わせが逆の人がいればかなり可能性は高くなります。遺伝的な要素が無い場合には永久歯に生え替わるときに改善できます。統計的には自然に改善するものが20%程度あり、装置を使うと確実に改善することができます。一度噛み合わせが改善するとそのまま正常に経過することが多いのですが稀に再発することもあります。下アゴの成長は身長の伸びに比例するので男の子で急に身長が伸びたときに噛み合わせが逆になることもあり慎重に経過を見ていかなければなりません。

7.乳歯の抜けた後に永久歯が出てこない

 乳歯の抜けた後に永久歯が出てこない場合があります。乳歯の抜けた後の傷が治らないうちに次の永久歯が出てくることが理想ですが傷が治ってしまい半年以上出てこなければ異常です。永久歯が先天的に無い場合もあるのであまり出てこない場合には調べてもらった方が良いでしょう。レントゲンを撮れば永久歯があるかどうかはすぐにわかります。永久歯があるのに出てこない場合には発音や飲み込みの時に舌を出す習慣が出てしまう場合があるので早めに歯ぐきを切って出してもらうことをお勧めします。スペースが無くて出てこない場合には問題はもっと複雑になりアゴを大きくするなどの治療が必要になります。

8.永久歯がでてくる隙間がない

 永久歯が大き過ぎて出てくるスペースが無いのは問題です。将来歯並びがガタガタになる可能性が高く早期に治療を開始すべきです。歯の大きさは遺伝的にすべて決まっていますがアゴの大きさは大きくすることが可能です。しかしアゴを大きくできるのは身長が伸びている成長の期間だけでありそれ以降では永久歯を数本抜歯して歯の本数を少なくして決まった大きさのアゴの中に並べることになります。アゴを大きくする装置はいくつかありますが写真のような取り外しのものと固定式の内側から拡げる装置があります。歯を並べるスペースを拡げても外面的にアゴの大きさが変わるわけではありません。小顔が流行の現代ですが笑顔の口元から真っ白で綺麗な歯並びの歯が見えるのはとても健康的で魅力的です。歯を数本抜いて並べるか、アゴを拡げて並べるかは早く決めなければなりません。

9.永久歯の前歯が一本だけ逆

 上の永久歯の前歯が1本だけ後ろに生えてしまった場合は自然に治る可能性は無く矯正治療が必要です。たまたま後ろに出てきてしまった場合と出てくる隙間がなく後ろに出てきたものでは矯正治療の内容が違ってきますが後ろに出てきてしまったことがわかった時点で治療を始めなければなりません。早ければ早いほど治療は簡単で早く済みます。

10.前歯が噛み合っていない

 前歯が噛み合っていないのは問題です。サ行のサ・シ・ス・セ・ソ、タ行のタ・チ・ツ・テ・トと発音してみてください。これらの発音の一部は上と下の歯の間から出てくる音です。前歯が噛み合わないでこれらを発音するには舌を隙間に入れて発音しなければならなくなります。この癖が身についてしまうと永久歯が出てきても舌を前歯の間に入れて発音するようになってしまい甘ったれた聞き取りにくいしゃべり方になってしまいます。芸能人でいうと森口博子や西村知美、山瀬まみのようなしゃべりかたになってしまいます。噛み合わなくなった原因は指しゃぶり、乳歯が早く抜けて永久歯が出てこなかった、舌を出す癖がある、鼻が悪いなどが考えられます。

11.前歯が出っ歯

 遺伝的に出っ歯の人はあまり多くありませんが家族に出っ歯が多い場合にはDNAがそうなので早くから矯正専門医に診てもらうべきです。家族に出っ歯の人がいない場合には後天的な要因が考えられます。指しゃぶりやおしゃぶりがなかなか取れなかった、鼻が悪くていつも口で呼吸している、いつもポカンと口を開いている、上の前歯で下唇を噛む癖があるなどがある場合には出っ歯になっていきます。鼻が悪い場合には耳鼻科で治療する必要がありますがアレルギーの問題などもあり改善はなかなか難しいようです。その他の癖は本人が意識して治さなければならずどうしてもダメな場合には口輪筋を鍛えたり口唇を閉鎖する装置で訓練しそれでもダメなら矯正治療が必要になります。

12.上の前歯のところに尖った歯が出てきた

 上の前歯の真ん中に過剰歯が出てくる場合があります素人が見ても形がおかしいのでびっくりしますがこれは普通の永久歯ではなく余分に生えてくる歯なので抜いておく必要があります。あまり抜く時期が遅くなると前歯に隙間ができてしまう場合があるのでお子さんが抜歯に耐えられるのであれば早めに抜いてしまった方が良いでしょう。

13.下の前歯がガタガタ、いつ矯正する

 下の前歯は6歳くらいで最初に永久歯に生え替わる歯です。乳歯の後ろに生えてくることもあり初めはガタガタしているのが普通です。スペースが十分にある場合には次第に揃ってきますが、スペースが無い場合にはガタガタのまま残ってしまいます。奥歯が生え替わり始める9歳くらいでまだガタガタの場合には自然に改善する可能性がなくなります。乳歯の奥歯で永久歯に生え替わる歯は永久歯よりも大きく生え替わりの時に若干のスペースがでてきます。このスペースを利用して9歳から11歳くらいの間に矯正するのが最も適切な時期です。

14.下の乳歯の前歯が3本しかない

 左右の糸切り歯(犬歯)の間には前歯が4本あるのが普通です。しかし時々乳歯の前歯が3本しかない場合があります。永久歯に生え替わるときに4本生える場合と、3本しか生えない場合とがありますが乳歯で少なかった場合には永久歯でも少なくなる可能性が高いようです。しかし最近の日本人のアゴは小さくなる傾向にあるので前歯が1本少ない子の方が歯並びがきれいになっています。上下のバランスの問題もあるので必ず良くなるというわけでもありませんがあまり心配する必要はありません。

15.生えてきた歯の先端がギザギザ

 上下の前歯は6歳頃から生え変わり始めます。出てきたばかりの歯の先端はギザギザしているのが普通です。上下の歯がかみ合うようになってくるとギザギザしていた先端は自然にすり減って平らになっていきます。ギザギザした歯が生えてきたとしても異常ではありません。欠けてしまったわけでもなくむし歯になってしまったわけでもないので心配する必要はありません。

16.指しゃぶりが気になる

 指しゃぶりは乳幼児期の生理的な行動と考えられています。3才くらいまでに止めることが理想ですが小学校に入学する頃までつづく場合もあり親としては心配です。指しゃぶりの問題は指の入るスペースが上下の前歯のあいだにできてしまい発音や嚥下に問題がでてしまうことです。しかしお子さんが普段いつもポカンと口を開いていなければ指しゃぶりを止めることで歯並びは改善します。いつもポカンと開いている場合は指しゃぶりを止めた後も改善はしません。

17.矯正はいつ始めればいい

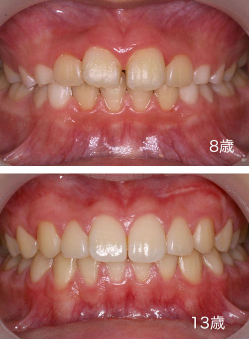
 歯科医のなかでも矯正治療をいつ始めるべきかには2つの考え方があります。身体の成長が終わりアゴの大きさや歯の大きさ、形が決まってから矯正治療を始めるという考え方と成長の途中で出てきた異常をその都度矯正していくという考え方です。前者では成長の終わる女子で13才、男子で15才くらいから2年くらいかけて治療を行います。後者では成長に応じて矯正を行うので時期や期間はまちまちで長くなることもあります。成長発育が終わってからでは抜歯することが多くなり、成長発育を利用すれば抜歯は少なくなります。当医院では後者の治療法を選択しています。

18.上下の正中が合っていない

  5歳の終わり頃から7歳くらいまでに上下の前歯が生え替わります。その時に乳歯の4本の前歯だけが抜けて生え替われば良いのですが片側の糸切り歯(犬歯)まで抜けて永久歯が生えてきてしまうことがあります。その原因は永久歯への生え変わりの時期までに顎が大きくならなかったことによるスペース不足です。下の写真では一見、きれいに生え替わっているように見えますが矢印の糸切り歯が抜けており下顎の歯がずれてしまっています。この後、奥歯が生え替わるときにほとんどの場合で歯並びが乱れてしまいまうので注意が必要です。