患者さんにどういう歯磨剤を使用した方が良いのか聞かれることがあります。広告などでも紹介されているように、今は色々な薬用成分の入った歯磨剤が売られていますが、その中でもフッ素入り歯磨剤の使用をお薦めしています。
現在世界中のほとんどの国で虫歯予防のためにフッ素が何らかのかたちで使用されています。水道水にフッ素が含まれていたり、フッ素の錠剤の服用、フッ素洗口、フッ素入り歯磨剤などがその例です。
そこでもっと多くの方にフッ素の有効性について知っていただきたいと思います。
フッ素とは・・・フッ素は広く自然界に分布しています。地殻中に多く含まれたフッ素が地下水、河川の水、海水に溶け出しています。食物中にもフッ素は含まれていますが、フッ素含有量の特に多い食物として、 お茶、ワカメ、海苔、海草類、魚介類などがあります。食物から体に取り込まれたフッ素は主に硬組織〔歯や骨〕に蓄積されます。
フッ素が虫歯予防に有効と考えられた根拠は、アメリカで1945年 から1947 年にかけていくつかの都市で水道水にフッ化物を添加した結果、学童の虫歯数が減少し、全身状態の異常などの副作用が見られないという好成績をおさめたことによります。その後アメリカでは水道水にフッ素が含まれることが一般化されすでに50年が経過しており高い予防効果が確 認されています。日本では反対派の意見により、水道水にフッ素が含まれていません。そのため他の方法で補っていく必要があります。その中で一番受け入れやすく簡単なのが歯磨剤です。 フッ素はなぜ虫歯予防に有効なのでしょうか?歯の生え始めの頃は一番フッ素が吸収されやすく、 永久歯への生え替わりの時期にフッ素を取り組むことによって歯質の強化、再石灰化の促進、虫歯の進行を阻止します。大人でも歯周病により骨が吸収され歯肉が下がると、歯の根が見えてきます。 ここはエナメル質のように固くできていないため、虫歯になりやすい部分です。ここにもフッ素は 有効に働きます。子供ばかりではなくフッ素は大人にも有効ですので、是非多くの方にフッ素入り歯磨剤を使用していただきたいと思います。
現在の歯科医学では治療をするよりこれ以上歯を悪くさせないように予防するという取 り組みが重視されてきています。そのためにまず一番重要なのは歯磨きがしっかりできてい るかということです。いかにきちんと治療をしても歯磨きができないと歯はまたすぐにだめ になってしまいます。歯の磨き方は基本的には歯ブラシを横に細かく動かす(スクラッビング法)のがよいでしょう。以前はローリング法(歯ブラシを回転させる方法)や縦磨きが主流でしたがあまり効率 が良くないということがわかってきたので現在はお勧めしていません。 人それぞれ磨き癖があり磨きやすいところと磨きにくいところがあるため、自分が苦手なところを知るということが大事です。いつも磨き残しがあるところから悪くなってしまいま す。磨き残しを無くすためにも苦手なところから始めたり、磨く場所の順番を決め、一カ所 に集中したり、磨き残しがでないよう注意しましょう
近年の健康ブームやお口の衛生意識の高まりにともない、薬局やスーパーマーケット では一般用の様々な洗口液を目にするようになりました。洗口液とは、口臭・虫歯予防、 歯の質を強くする作用、歯周病予防や清涼感を目的として、適量を口に含みブクブクと 口をゆすいだ後吐き出すタイプの液剤です。含まれている薬用成分の殺菌作用により口 臭予防や虫歯予防等に効果を発揮すると考えられています。洗口液による殺菌作用は、各種研究データにおいてその有効性が証明されております。
虫歯や歯槽膿漏で困っている患者さん達のお口の中を拝見すると、歯磨きの出来ていない方が多いのに驚かされます。ほとんどの方は「ちゃんと歯ブラシをしているのに」と言われますが、歯磨きはしていてもその時間が短かったり、歯ブラシの当て方が悪かったりでその効果が上がっていない方が多いように思います。結局は自分で病気を作ってしまっているということになります。歯ブラシの当て方についてはすでにパンフレットで紹介したり治療中に説明しているのでお解りいただいていると思いますが、歯磨きの時間が短いことが効果の上がらない大きな原因になっていると思われます。それではどのくらい歯を磨くと良いのでしょうか。
1日に合計で10分位が目安になります。
1日に何回磨くかは人それぞれですが、患者さんにお聞きすると1日2回という方が圧倒的に多いようです。もし1日1回しか磨かないとすればかなり手を抜いていると言えそうです。 1日1回の人も、2回の人も合計で10分位磨くように心掛けてください。「え~、そんなに磨くの?」、「そんなに暇じゃない」などという声が聞こえてきそうですが、何かをやりながら歯を磨くという習慣が出来ればわけなく長い時間磨くことが出来ます。実際私はこの文章をコンピューターに打ち込みながらもうすでに30分は歯磨きをしています。このように何かをしながら歯磨きをすることを「ながら磨き」と名付けました。テレビをみながら、本や新聞を読みながら、お風呂に入りながら歯磨きをする習慣を身につけましょう。
洗面所の前に立って歯磨きをしたのでは長い時間磨くことは出来ません。「ながら磨き」のこつは歯みがき粉を付けないで磨くことです。「磨いたものを飲み込むのは気持ち悪い」という方もいらっしゃると思いますが、口の中に食べかすを残しておく方がもっと良くないことです。またお口の中のバイ菌はお腹の中に入っても悪さをしないバイ菌ですので心配はいりません。あとはお行儀が悪いと怒られるのが心配ですが、われわれ歯科関係に従事する仲間の間ではこのような「ながら磨き」はすでに当たり前のこととして常識化しています。 ご家庭でも意識改革をして洗面所以外の場所で歯磨きをするということを習慣化していただければと思います。
どんなに下手な磨き方でも長い時間磨いていれば必ずきれいに磨くことが出来ます。歯みがき粉は1日1回付けて磨けば十分です。入れ歯などが入っていて歯の本数が少なくなっている方は余計念入りに磨く必要があります。
歯が弱い、歯ぐきが弱いと嘆く前に、ご自分の歯磨きチェックをしてみてください。歯磨き時間が短く、歯みがき粉の味ですっきりした気分になっているだけではありませんか。
「ながら磨き」で1日10分を目標にしてみてください。
普段習慣的に行っている歯磨きですが、正しい歯の磨き方、正しい歯みがき粉の使い方があります。すべてこの通りというわけには行かないと思いますが、基本として覚えておいて下さい。
以上が正しい歯みがき粉の使い方です。これはあくまでフッ素を歯の表面に行き渡せ、歯の質の強化を図るための方法です。そのためフッ素が入っていない歯みがき粉では意味が無く、なるべく高濃度のフッ素が入った歯みがき粉を使用した場合に虫歯予防の効果があります。研究では1,500~2,500ppmのフッ素が含まれた歯みがき粉を使用した場合に明らかな虫歯予防効果があったことが示されています。日本では残念ながらフッ素に対しての歯科医や行政側の認識が低く、歯みがき粉のフッ素濃度も950ppmが最高になっています。先進諸外国では高濃度のフッ素入り歯みがき粉が普通にスーパーや薬屋で買うことが出来ます。当医院では大人用に2,000ppm、子供用に1,500ppmの歯みがき粉を輸入して販売しております。どうぞご利用下さい。
*:上記歯みがき粉は、院内の患者さんへの販売以外はお受けしておりません。
よく患者さんに「電動歯ブラシはいいですか?」という質問を受けます。
電動歯ブラシの製品による良し悪しがあり、また正しい方法でみがけているかも大切で、一概に良いとも悪いとも言えません。須貝歯科では特別の場合を除いて積極的にはお薦めしていませんが、これから使ってみたいという方、すでに使っているという方には電動歯ブラシの効果や注意点などを十分理解していただきたいと思います。
電動歯ブラシの効果
歯のみがき方は、基本的に歯ブラシを歯の根元付近にあて、横に細かく動かす方法が効果的であると言われています。しかし、力を入れすぎずに一カ所をできるだけ小刻みにみがくのは意外と難しいものです。電動歯ブラシは毛先を歯にあてるだけで、あとはブラシが自動的に小刻みに動いてくれるので、手でみがくよりも早くみがけ、歯垢(プラ-ク)も落とせます。
選ぶときのポイント
電動歯ブラシといっても色々種類があります。普通のブラシの形でタテヨコに動くものより、毛先が回転するものや超振動するものの方が歯垢を良く落とすことができます。
当医院のお薦めする電動歯ブラシは、
「プラックコントロ-ル3D」(ブラウン・回転式)定価¥12,000~¥16,000と
「ソニケア-プラス」(三井物産・超振動式)定価¥19,900です。(2002年11月現在)
値段の安いものは効果の無いものが多くお薦めできません。
電動歯ブラシの使用上の注意
電動歯ブラシをうまく使うコツは“軽く、細かく、的確に”です。電動歯ブラシだけではなく、時々は普通の歯ブラシやデンタルフロス・歯間ブラシなども使ってみがくといいでしょう。 しかし実際にすみずみまでみがけるのはやはり手で上手にみがく方法です。自分で磨きたい部分に毛先をあてることができ、当てる力の強さも変えられ、細かな調整ができます。 歯と歯の間もきれいにみがくことができます。手先が不器用な方や、面倒くさがり屋の方以外は手で磨くことをお薦めします。経済的にも大変お得だと思います。
何か質問などありましたらスタッフにおたずねください。
歯を磨く道具としてどのようなブラシを選ぶと良いでしょうか?
車を掃除する時のことを考えてみましょう。頑固な汚れを落とすには、硬いブラシにクレンザーでもつけてゴシゴシこすれば簡単に済むでしょう。しかし、そんな掃除の仕方をしていたのでは車体の表面が傷ついてしまいます。車体を傷つけないように汚れを落とすためには、多少時間がかかっても水や洗剤で汚れを落としてから柔らかいスポンジや布でていねいに磨き上げていくほうがよいでしょう。
また入り組んだ狭い場所を掃除するには、そこまで届くような小さなブラシを使って磨かなければなりません。 また簡単に車全体をきれいにするには洗車機に入れるのが手っ取り早いでしょう。 口の中も同じです。硬い歯ブラシに歯みがき粉を沢山つけてゴシゴシ磨くと、歯や歯ぐきを傷つけてしまいます。 また大きな歯ブラシでは隅々まできれいにすることはできません。 洗車機は電動歯ブラシです。
そこで歯ブラシを選ぶ基準は柔らかくて、小さめのものということになります。 材質としては毛先が丸く加工してあるナイロン性のものが良いでしょう。 耐久性については各社によって多少差がありますが、あまり長く使っていると能率が悪くなり、歯や歯ぐきを傷つけやすくなってしまいますので、歯ブラシを後ろから見て毛が見えるほど毛先が広がってきたとこ ろで交換してください。
硬い歯ブラシでないと物足りないという方も多いと思いますが、硬い歯ブラシで磨いたために、歯の根元が削れてしまっていたり、歯ぐきが下がってしまっている人を多くみかけます。 歯と歯ぐきの健康を守るためには、柔らかくて小さな歯ブラシに換えた方が無難でしょう。
当医院で勧めている歯ブラシは以下のとおりです。(1本100円です)
「いつもちゃんと磨いているのにどうして虫歯や歯槽膿漏になるんだろう?」 と思われている方がいませんか。
虫歯も歯槽膿漏もお口の中にいるバイ菌によって起こる病気であることがはっきりわかっています。 虫歯や歯槽膿漏になるかどうかはそのバイ菌の種類や量が問題です。 バイ菌の種類はほとんどが母親から子供さんに移り、生涯あまり変化しないといわれています。 そのためバイ菌の量を歯ブラシで減らすことが最も重要な予防法になります。
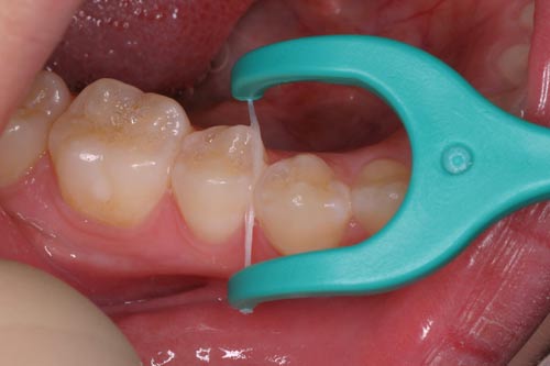
歯ブラシがよく届かないところにバイ菌が増え、そこから虫歯や歯槽膿漏が始まってしまいます。 最も細菌が集まりやすい場所は歯と歯の間で、ほとんどの虫歯と歯槽膿漏がここから始まります。 歯と歯の間は歯ブラシだけではなくデンタルフロスや歯間ブラシを使って磨くと確実に掃除が出来ます。 まずは正しい歯の磨き方を身につけることが大切です。
PMTCとは
普段のブラッシングですべてのバイ菌が取れるわけではありません。 いつもばい菌の取り残しがあるところから虫歯や歯槽膿漏が始まったり、歯石がたまったりします。 普段のブラッシングの足りない部分を補うために行われるのが、 PMTC(Professional Mechanical Tooth Cleaning )です。
これは専門の教育を受けた歯科衛生士が歯に付着したすべての歯石やバイ菌を色々な器具を使って取り除く方法です。 PMTCでバイ菌の量を減らすことができるので、定期的におこなうことで虫歯や歯槽膿漏の予防ができます。 人それぞれで清潔感やブラッシングのレベルが違い、虫歯や歯槽膿漏のなりやすさも違います。そのためPMTCの間隔は1~6カ月に1回と、さまざまです。 当医院でもPMTCを受けている患者さんの虫歯や歯槽膿漏の発生率は著しく少なくなっています。
PMTCは治療ではありませんので痛みをともなうこともありません。
口の中は唾液・舌・粘膜などの作用で、ある程度までは自然にきれいになることが分かっています。しかし歯と歯の間や根元の近くなどのように入り組んでいる部分は本来の自浄作用が及びにくく汚れが残りやすくなります。歯はデコボコしていたり、深い溝があったり、曲がっていたりと実に複雑な形態をしています。食べカスや歯垢(プラーク)が隙間に入り込んでしまうと歯ブラシなどを使用して取り除かないといつまでも汚れたままになってしまいます。
歯ブラシ1本だけでこのような複雑な口の中をすべて完全に掃除することはよほどの達人でない限り至難の業と言えるでしょう。われわれプロであっても1回に10分くらいかけて磨かないとすべての汚れを取ることは出来ません。電動ブラシであっても同じことです。しかし都合の悪いことにこの磨き残した部分から虫歯や歯槽膿漏が始まってしまいます。いつもきれいに磨けているところは虫歯にも歯槽膿漏にもならないのです。この磨きにくい場所の掃除に歯ブラシだけでなくもうひつの道具を使用することをお薦めします。歯槽膿漏で歯と歯の間に隙間が出来てしまって食べかすが詰まりやすい方には歯間ブラシ、今までに歯と歯の間から虫歯になった経験のある方にはデンタルフロスの使用をお薦めします。今まで歯ブラシが難しかった部分が簡単にきれいになります。
これらの道具の使用には注意が必要なことがあり不適切な道具を使うと余計に歯の隙間が広がったり歯ぐきを痛めたりもします。道具の選び方や使用法については歯科衛生士までお尋ね下さい。


虫歯予防の重要性が注目されていますが、子供の虫歯の数は他の先進国に比べてもあまり減っていません。 生活習慣や価値観の違いだけではなく、ホームドクターによる定期健診を受けることやフッ素を使うことなどが大きな違いのようです。 乳歯や生え始めの永久歯は歯の質が弱く、大人の歯より虫歯に罹りやすいので、虫歯予防には子供の頃からフッ素を使うことが効果的です。 須貝歯科で小さい頃からフッ素塗布を受けている子供さんの虫歯の数は予防先進国フィンランドより少なくなっています。
~フッ素の働き~
定期健診では、歯磨剤に入っている10倍以上の濃度のフッ素を歯面に塗布します。 定期的な高濃度のフッ素塗布は虫歯予防に大変重要です。
入れ歯を使用している方へ
新しい入れ歯ができた時、新しい靴をはくと靴ずれができるのと同じ様に、新しい入れ歯では歯ぐきが入れ歯になじむまでに必ずどこかにすれるところができます。入れ歯は靴と違って形が変わらないのでそこは調整(入れ歯を削ること)が必要です。何回か調整して初めて入れ歯が完成したといえます。最初からもとのなじんだ入れ歯と同じように咬むと大きな傷が出来てしまいます。最初は柔らかいものを小さく切って食べ、痛みがなければ少しずつ固いもの、大きなものを食べるようにしましょう。痛みが強いときは無理して使わずにはずしておいて、調整の前の日からは必ず使うようにしてください。
入れ歯のお手入れ
また入れ歯では歯と同じように咬むことはできません。入れ歯の大きさ、残った歯の状態にもよりますが咬む力はもとの30 %位だと言われています。一度入れ歯に なると歯の無いところの負担がかかることで残った歯(特に金具のかかった歯)がだめになり、次 第に大きな入れ歯が必要になることも多いです。小さな入れ歯の時に感じなかった不自由もでてき ます。自分の歯で咬むとその刺激が脳に伝わることで脳の働きも活発になります。部分入れ歯の方 はこれから歯を失うことがないよう1本でも歯を大事にしましょう。 入れ歯は何年か経つと歯ぐきの形が変わったりして合わなくなってきます。合わない入れ歯を入れていると残っている歯や歯ぐきに負担がかかります。半年に1度ぐらい定期健診に来てください。